| |
Immunohistochemistry Antibodies |
| |
Spring is proud to offer EPITOPE SPECIFIC RABBIT ANTIBODIES that are
great for immunohistochemistry formalin-fixed, paraffin-embedded tissues
with low background, high specificity, strong staining and high titer.
All the antibodies are tested for 10 minutes incubation.
|
| |
 |
 |
 |
 |
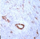
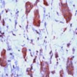
| Human Leiomyoma stained with Anti-Actin
muscle, Cat# E2464 |
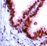
Human prosptate stained with anti-androgen
receptor Cat#E2724 |
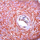
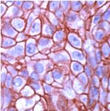
Human breast ca stained with anti-pan
Cadherin, Cat #E2364 |
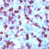
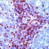
Human tonsil stained with anti-CD3, Cat
#E1254 |
 |
 |
 |
 |
| Human tonsil stained with Anti-CD5, Cat#
E2474 |
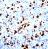
Human tonsil stained with anti-CD8, Cat#
E2484 |
Human breast ca stained with anti-c-erbB2,
Cat# E2444 |
Human breast ca stained with anti-COX2, Cat#
E3034 |
 |
 |
 |
 |
| Human placenta stained with Anti-EGFR, Cat#
E2454 |
Human colon ca stained with anti-Fas ligand,
Cat# E2714 |
Human breast stained with anti-FHIT, Cat#
E3644 |
Human tonsil stained with anti-Granzyme B,
Cat# E2584 |
 |
 |
 |
 |
| Human lung stained with Anti-Keratin 8, Cat#
E3264 |
Human tonsil stained with anti-Ki-67, Cat#
E1874 |
Human prostate ca stained with anti-p27kip1,
Cat# E2604 |
Human pancreas stained with anti-PGP9.5, Cat#
E3344 |
|
| |
|
|
Cat. # |
Product Type |
Dilution |
Applic. |
Species |
Size |
Price |
Specs |
|
|
|
|
|
Reactivity |
|
|
|
E2924 |
14-3-3 beta |
1:100 |
IHC-P, WB, IP |
Hu, Ms, Rt |
1.0ml |
510 € |
E2924.pdf |
|
E2921 |
14-3-3 beta |
Ready-to-use |
IHC-P |
Hu, Ms, Rt |
7.0ml |
211 € |
E2921.pdf |
|
E12604 |
14-3-3 zeta |
1:50 |
IHC-P, WB |
Hu, Ms, Rt |
1.0ml |
510 € |
E12604.pdf |
|
E12601 |
14-3-3 zeta |
Ready-to-use |
IHC-P |
Hu, Ms, Rt |
7.0ml |
289 € |
E12601.pdf |
|
E4764 |
14.3.3 sigma |
1:50 |
IHC-P,WB,IP,IF |
Hu, Rt |
1.0ml |
627 € |
E4764.pdf |
|
E4761 |
14.3.3 sigma |
Ready-to-use |
IHC-P |
Hu, Rt |
7.0ml |
302 € |
E4761.pdf |
|
E4554 |
Actin, beta |
1:200 |
IHC-P, WB |
Hu |
1.0ml |
497 € |
E4554.pdf |
|
E4551 |
Actin, beta |
Ready-to-use |
IHC-P |
Hu |
7.0ml |
237 € |
E4551.pdf |
|
E4774 |
Actin, Muscle Specific |
1:50 |
IHC-P, IF |
Hu,Ms,Rt,Pi |
1.0ml |
367 € |
E4774.pdf |
|
E4771 |
Actin, Muscle Specific |
Ready-to-use |
IHC-P |
Hu,Ms,Rt,Pi |
7.0ml |
302 € |
E4771.pdf |
|
E4784 |
Actin, Pan |
1:200 |
IHC-P,WB,IP |
Hu,Ms,Rt,Rb,Do |
1.0ml |
536 € |
E4784.pdf |
|
E4781 |
Actin, Pan |
Ready-to-use |
IHC-P |
Hu,Ms,Rt,Rb,Do |
7.0ml |
302 € |
E4781.pdf |
|
E16651 |
Actin, Skeleatal Muscle |
Ready-to-use |
IHC-P |
Hu |
7.0ml |
302 € |
E16651.pdf |
|
E3884 |
Actin, skeletal muscle |
1:200 |
IHC-P |
Hu, Rt, Rb, Gp |
1.0ml |
302 € |
E3884.pdf |
|
E16654 |
Actin, Skeletal Muscle |
1:50 |
IHC-P |
Hu |
1.0ml |
445 € |
E16654.pdf |
|
E3881 |
Actin, skeletal muscle |
Ready-to-use |
IHC-P |
Hu, Rt, Rb, Gp |
7.0ml |
211 € |
E3881.pdf |
|
E2464 |
Actin, Smooth Muscle |
1:100 |
IHC-P |
Hu, Ms, Rt |
1.0ml |
367 € |
E2464.pdf |
|
E6604 |
Actin, Smooth Muscle |
1:100 |
IHC-P,IF |
Hu,Ms,Rt,Ch |
1ml |
406 € |
E6604.pdf |
|
E14344 |
Actin, Smooth Muscle |
1:200 |
IHC-P |
Hu, Ms, Rt, Co, Chi, Rb, Ba |
1.0ml |
406 € |
E14344.pdf |
|
E14341 |
Actin, Smooth Muscle |
Ready-to-use |
IHC-P |
Hu, Ms, Rt, Co, Chi, Rb, Bs |
7.0ml |
211 € |
E14341.pdf |
|
E6601 |
Actin, Smooth Muscle |
Ready-to-use |
IHC-P |
Hu,Ms,Rt,Ch |
7ml |
198 € |
E6601.pdf |
|
E2461 |
Actin, Smooth Muscle |
Ready-to-use |
IHC-P |
Hu, Ms, Rt |
7.0ml |
211 € |
E2461.pdf |
|
E5534 |
Adenovirus Type 2 E1A |
1:50 |
IHC-P,WB,IF |
Adenovirus |
1.0ml |
484 € |
E5534.pdf |
|
E5531 |
Adenovirus Type 2 E1A |
Ready-to-use |
IHC-P |
Adenovirus |
7.0ml |
302 € |
E5531.pdf |
|
E5544 |
Adenovirus Type 5 E1A |
1:50 |
IHC-P,WB,IP,IF |
Adenovirus |
1.0ml |
484 € |
E5544.pdf |
|
E5541 |
Adenovirus Type 5 E1A |
Ready-to-use |
IHC-P |
Adenovirus |
7.0ml |
302 € |
E5541.pdf |
|
E16454 |
Adrenocorticotrophic Hormone |
1:400 |
IHC-P |
Hu |
1.0ml |
510 € |
E16454.pdf |
|
E16451 |
Adrenocorticotrophic Hormone |
Ready-to-use |
IHC-P |
Hu |
7.0ml |
302 € |
E16451.pdf |
|
E3494 |
Adrenocorticotrophic Hormone (ACTH) |
1:500 |
IHC-P, WB |
Hu |
1.0ml |
367 € |
E3494.pdf |
|
E6614 |
Adrenocorticotrophic Hormone (ACTH) |
1:250 |
IHC-P |
Hu |
1ml |
445 € |
E6614.pdf |
|
E6611 |
Adrenocorticotrophic Hormone (ACTH) |
Ready-to-use |
IHC-P |
Hu |
7ml |
185 € |
E6611.pdf |
|
E3491 |
Adrenocorticotrophic Hormone (ACTH) |
Ready-to-use |
IHC-P |
Hu |
7.0ml |
172 € |
E3491.pdf |
|
E13454 |
AKT (phospho-S473) |
1:25 |
IHC-P |
Hu |
1.0ml |
510 € |
E13454.pdf |
|
E13451 |
AKT (phospho-S473) |
Ready-to-use |
IHC-P |
Hu |
7.0ml |
289 € |
E13451.pdf |
|
E13464 |
AKT(Paired S473) |
1:25 |
IHC-P |
Hu |
1.0ml |
510 € |
E13464.pdf |
|
E10844 |
Akt1/2 |
1:50 |
IHC-P, WB |
Hu, Ms, Rt |
1.0ml |
510 € |
E10844.pdf |
|
E10841 |
Akt1/2 |
Ready-to-use |
IHC-P |
Hu, Ms, Rt |
7.0ml |
289 € |
E10841.pdf |
|
E13461 |
AKT1/PKB (Paired 473) |
Ready-to-use |
IHC-P |
Hu |
7ml |
289 € |
E13461.pdf |
|
E1094 |
ALK / p80 |
1:400 |
IHC-P |
Hu |
1.0ml |
445 € |
E1094.pdf |
|
E1091 |
ALK / p80 |
Ready-to-use |
IHC-P |
Hu |
7.0ml |
302 € |
E1091.pdf |
|
E17884 |
Alk/p80 |
1:60 |
IHC-P |
Hu |
1ml |
510 € |
E17884.pdf |
|
E2954 |
alpha Fetoprotein (AFP) |
1:200 |
IHC-P, WB |
Hu |
1.0ml |
211 € |
E2954.pdf |
|
E6624 |
Alpha Fetoprotein (AFP) |
1:10 |
IHC-P |
Hu,Dg,Pg |
1ml |
328 € |
E6624.pdf |
|
E6621 |
Alpha Fetoprotein (AFP) |
Ready-to-use |
IHC-P |
Hu,Dg,Pg |
7ml |
302 € |
E6621.pdf |
|
E2951 |
alpha Fetoprotein (AFP) |
Ready-to-use |
IHC-P |
Hu |
7.0ml |
172 € |
E2951.pdf |
|
E12554 |
alpha PAK |
1:50 |
IHC-P, WB |
Hu, Ms, Rt |
1.0ml |
627 € |
E12554.pdf |
|
E12551 |
alpha PAK |
Ready-to-use |
IHC-P |
Hu, Ms, Rt |
7.0ml |
289 € |
E12551.pdf |
|
E3454 |
Alpha-1-antichymotrypsin |
1:100 |
IHC-P, WB |
Hu |
1.0ml |
198 € |
E3454.pdf |
|
E3451 |
Alpha-1-antichymotrypsin |
Ready-to-use |
IHC-P |
Hu |
7.0ml |
172 € |
E3451.pdf |
|
E3444 |
Alpha-1-antitrypsin |
1:100 |
IHC-P |
Hu |
1.0ml |
198 € |
E3444.pdf |
|
E3441 |
Alpha-1-antitrypsin |
Ready-to-use |
IHC-P |
Hu |
7.0ml |
172 € |
E3441.pdf |
|
E3764 |
alpha-B-Crystallin |
1:200 |
IHC-P |
Hu |
1.0ml |
445 € |
E3764.pdf |
|
E3761 |
alpha-B-Crystallin |
Ready-to-use |
IHC-P |
Hu |
7.0ml |
211 € |
E3761.pdf |
|
E3404 |
Amylin Peptide |
1:200 |
IHC-P |
Hu |
1.0ml |
419 € |
E3404.pdf |
|
E3401 |
Amylin Peptide |
Ready-to-use |
IHC-P |
Hu |
7.0ml |
211 € |
E3401.pdf |
|
E3534 |
Amyloid beta |
1:100 |
IHC-P, WB, IP |
Hu |
1.0ml |
445 € |
E3534.pdf |
|
E3531 |
Amyloid beta |
Ready-to-use |
IHC-P |
Hu |
7.0ml |
172 € |
E3531.pdf |
|
E2724 |
Androgen Receptor |
1:100 |
IHC-P, WB, IP |
Hu, Ms, Rt |
1.0ml |
510 € |
E2724.pdf |
|
E6634 |
Androgen Receptor |
1:50 |
IHC-P,WB,IP,IF,GS |
Hu,Dg |
1ml |
627 € |
E6634.pdf |
|
E6631 |
Androgen Receptor |
Ready-to-use |
IHC-P |
Hu,Dg |
7ml |
302 € |
E6631.pdf |
|
E2721 |
Androgen Receptor |
Ready-to-use |
IHC-P |
Hu, Ms, Rt |
7.0ml |
211 € |
E2721.pdf |
|
E14034 |
Annexin A1 |
1:25 |
IHC-P |
Hu |
1.0ml |
510 € |
E14034.pdf |
|
E14031 |
Annexin A1 |
Ready-to-use |
IHC-P |
Hu |
7.0ml |
289 € |
E14031.pdf |
|
E12384 |
Annexin VI |
1:50 |
IHC-P |
Hu |
1.0ml |
510 € |
E12384.pdf |
|
E12381 |
Annexin VI |
Ready-to-use |
IHC-P |
Hu |
7.0ml |
289 € |
E12381.pdf |
|
E3954 |
Apaf-1 |
1:200 |
IHC-P |
Hu, Ms, Rt |
1.0ml |
445 € |
E3954.pdf |
|
E3951 |
Apaf-1 |
Ready-to-use |
IHC-P |
Hu, Ms, Rt |
7.0ml |
211 € |
E3951.pdf |
|
E4084 |
APC |
1:100 |
IHC-P, WB, IP |
Hu, Ms, Rt |
1.0ml |
445 € |
E4084.pdf |
|
E4081 |
APC |
Ready-to-use |
IHC-P |
Hu, Ms, Rt1 |
7.0ml |
211 € |
E4081.pdf |
|
E10364 |
Apo-D |
1:50 |
IHC-P |
Hu |
1.0ml |
510 € |
E10364.pdf |
|
E10361 |
Apo-D |
Ready-to-use |
IHC-P |
Hu |
7.0ml |
289 € |
E10361.pdf |
|
E2654 |
APP (Amyloid Protein Precursor) |
1:100 |
IHC-P, WB |
Hu, Ms, Rt |
1.0ml |
510 € |
E2654.pdf |
|
E2651 |
APP(Amyloid Protein Precursor) |
Ready-to-use |
IHC-P |
Hu, Ms, Rt |
7.0ml |
211 € |
E2651.pdf |
|
E4794 |
ARC |
1:25 |
IHC-P |
Hu |
1.0ml |
627 € |
E4794.pdf |
|
E4791 |
ARC |
Ready-to-use |
IHC-P |
Hu |
7.0ml |
289 € |
E4791.pdf |
|
E3324 |
Bak |
1:300 |
IHC-P |
qwe |
1.0ml |
445 € |
E3324.pdf |
|
E3321 |
Bak |
Ready-to-use |
IHC-P |
Hu, Ms, Hm |
7.0ml |
237 € |
E3321.pdf |
|
E3384 |
Bax |
1:200 |
IHC-P, WB |
Hu |
1.0ml |
445 € |
E3384.pdf |
|
E6644 |
Bax |
1:50 |
IHC-P,WB,IF |
Hu |
1ml |
575 € |
E6644.pdf |
|
E6641 |
Bax |
Ready-to-use |
IHC-P |
Hu |
7ml |
302 € |
E6641.pdf |
|
E3381 |
Bax |
Ready-to-use |
IHC-P |
Hu |
7.0ml |
211 € |
E3381.pdf |
|
E16764 |
Bcl-10 |
1:50 |
IHC-P, WB |
Hu |
1.0ml |
510 € |
E16764.pdf |
|
E16761 |
Bcl-10 |
Ready-to-use |
IHC-P |
Hu |
7.0ml |
302 € |
E16761.pdf |
|
E1124 |
Bcl-2 alpha |
1:50 |
IHC-P, WB, IP |
Hu |
1.0ml |
445 € |
E1124.pdf |
|
E1121 |
Bcl-2 alpha |
Ready-to-use |
IHC-P |
Hu |
7.0ml |
289 € |
E1121.pdf |
|
E6914 |
Bcl-6 |
1:20 (60') |
IHC-P |
Hu, Rt, Rb, Co, Sh |
1.0ml |
536 € |
E6914.pdf |
|
E14094 |
Bcl-6 |
1:50 |
IHC-P |
Hu |
1.0ml |
510 € |
E14094.pdf |
|
E14091 |
Bcl-6 |
Ready-to-use |
IHC-P |
Hu |
7.0ml |
289 € |
E14091.pdf |
|
E6911 |
Bcl-6 |
Ready-to-use |
IHC-P |
Hu, Rt, Rb, Co, Sh |
7.0ml |
302 € |
E6911.pdf |
|
E3374 |
Bcl-X |
1:200 |
IHC-P |
Hu, Ms |
1.0ml |
445 € |
E3374.pdf |
|
E6654 |
bcl-X |
1:50 |
IHC-P,IP,IF,FC |
Hu,Ms,Rt,Pg |
1ml |
575 € |
E6654.pdf |
|
E6651 |
bcl-X |
Ready-to-use |
IHC-P |
Hu,Ms,Rt,Pg |
7ml |
302 € |
E6651.pdf |
|
E3371 |
Bcl-X |
Ready-to-use |
IHC-P |
Hu, Ms |
7.0ml |
211 € |
E3371.pdf |
|
E16664 |
Bcl-xL |
1:400 |
IHC-P |
Hu |
1.0ml |
510 € |
E16664.pdf |
|
E4204 |
Bcl-xL |
1:50 |
IHC-P |
Hu, Ms, Rt |
1.0ml |
445 € |
E4204.pdf |
|
E4834 |
bcl-XL |
1:50 |
IHC-P,IF,FC |
Hu,Ms |
1.0ml |
575 € |
E4834.pdf |
|
E4831 |
bcl-XL |
Ready-to-use |
IHC-P |
Hu,Ms |
7.0ml |
289 € |
E4831.pdf |
|
E4201 |
Bcl-xL |
Ready-to-use |
IHC-P |
Hu, Ms, Rt |
7.0ml |
211 € |
E4201.pdf |
|
E16661 |
Bcl-xL |
Ready-to-use |
IHC-P |
Hu |
7.0ml |
302 € |
E16661.pdf |
|
E4364 |
Bim (BOD) |
1:25 (30') |
IHC-P, WB |
Hu, Ms, Rt |
1.0ml |
445 € |
E4364.pdf |
|
E4361 |
Bim (BOD) |
Ready-to-use |
IHC-P |
Hu, Ms, Rt |
7.0ml |
250 € |
E4361.pdf |
|
E12514 |
BMP4 |
1:50 |
IHC-P |
Hu |
1.0ml |
510 € |
E12514.pdf |
|
E12511 |
BMP4 |
Ready-to-use |
IHC-P |
Hu |
7.0ml |
289 € |
E12511.pdf |
|
E16844 |
Bnip3L |
1:100 |
IHC-P |
Hu |
1.0ml |
510 € |
E16844.pdf |
|
E16841 |
Bnip3L |
Ready-to-use |
IHC-P |
Hu |
7.0ml |
302 € |
E16841.pdf |
|
E16674 |
Bob-1 |
1:50 |
IHC-P |
Hu |
1.0ml |
510 € |
E16674.pdf |
|
E16671 |
Bob-1 |
Ready-to-use |
IHC-P |
Hu |
7.0ml |
302 € |
E16671.pdf |
|
E4844 |
Bromodeoxyuridine (BrdU) |
1:100 |
IHC-P,IF,FC |
All species |
1.0ml |
432 € |
E4844.pdf |
|
E4841 |
Bromodeoxyuridine (BrdU) |
Ready-to-use |
IHC-P |
All species |
7.0ml |
302 € |
E4841.pdf |
|
E4004 |
c-Abl |
1:50 |
IHC-P, WB, IP |
Hu, Ms |
1.0ml |
445 € |
E4004.pdf |
|
E6564 |
c-Abl |
1:50 |
IHC-P,WB,IP,IF |
Hu,Ms |
1ml |
575 € |
E6564.pdf |
|
E6561 |
c-Abl |
Ready-to-use |
IHC-P |
Hu,Ms |
7ml |
302 € |
E6561.pdf |
|
E4001 |
c-Abl |
Ready-to-use |
IHC-P |
Hu, Ms |
7.0ml |
211 € |
E4001.pdf |
|
E4904 |
c-erbB-2 / HER-2 |
1:100 |
IHC-P,WB,IP |
Hu,Ms,Rt,Mo |
1.0ml |
549 € |
E4904.pdf |
|
E2444 |
c-erbB-2 / HER-2 |
1:300 |
IHC-P, WB, IP |
Hu, Ms, Rt |
1.0ml |
497 € |
E2444.pdf |
|
E2441 |
c-erbB-2 / HER-2 |
Ready-to-use |
IHC-P |
Hu, Ms, Rt |
7.0ml |
263 € |
E2441.pdf |
|
E4901 |
c-erbB-2 / HER-2 |
Ready-to-use |
IHC-P |
Hu,Ms,Rt,Mo |
7.0ml |
302 € |
E4901.pdf |
|
E16274 |
c-erbB-3 |
|
IHC-P, IP |
Hu |
1ml |
731 € |
E16274.pdf |
|
E7314 |
c-erbB-3 / HER-3 |
|
IHC-P, FC |
Hu |
200ug |
575 € |
E7314.pdf |
|
E3434 |
c-erbB-3 / HER-3 |
1:30 |
IHC-P |
Hu |
1.0ml |
445 € |
E3434.pdf |
|
E3431 |
c-erbB-3 / HER-3 |
Ready-to-use |
IHC-P, IP |
Hu |
7.0ml |
211 € |
E3431.pdf |
|
E6664 |
c-erbB-4 / HER-4 |
1:50 |
IHC-P |
Hu,Ms |
1ml |
575 € |
E6664.pdf |
|
E6661 |
c-erbB-4 / HER-4 |
Ready-to-use |
IHC-P |
Hu,Ms |
7ml |
302 € |
E6661.pdf |
|
E12424 |
c-erbB2 |
1:50 |
IHC-P, WB |
Hu, Ms, Rt |
1.0ml |
510 € |
E12424.pdf |
|
E12421 |
c-erbB2 |
Ready-to-use |
IHC-P |
Hu, Ms, Rt |
7.0ml |
289 € |
E12421.pdf |
|
E4464 |
c-fos |
1:100 |
IHC-P |
Hu |
1.0ml |
497 € |
E4464.pdf |
|
E4461 |
c-fos |
Ready-to-use |
IHC-P |
Hu |
7.0ml |
237 € |
E4461.pdf |
|
E10614 |
c-Met |
1:50 |
IHC-P, WB |
Hu |
1.0ml |
510 € |
E10614.pdf |
|
E10611 |
c-Met |
Ready-to-use |
IHC-P |
Hu |
7.0ml |
289 € |
E10611.pdf |
|
E4934 |
c-myb / v-myb |
1:50 |
IHC-P,WB |
Hu |
1.0ml |
627 € |
E4934.pdf |
|
E4931 |
c-myb / v-myb |
Ready-to-use |
IHC-P |
Hu |
7.0ml |
302 € |
E4931.pdf |
|
E5614 |
c-myc |
1:50 |
IHC-P,WB,IP,IF,FC,AP |
Hu |
1.0ml |
549 € |
E5614.pdf |
|
E5611 |
c-myc |
Ready-to-use |
IHC-P |
Hu |
7.0ml |
302 € |
E5611.pdf |
|
E17344 |
C4d |
1:100 |
IHC-P |
Hu |
1.0ml |
510 € |
E17344.pdf |
|
E17341 |
c4d |
Ready-to-use |
IHC-P |
Hu |
7.0ml |
302 € |
E17341.pdf |
|
E3174 |
CA125 |
1:50 |
IHC-P |
Hu |
1.0ml |
367 € |
E3174.pdf |
|
E3171 |
CA125 |
Reay-to-use |
IHC-P |
Hu |
7.0ml |
237 € |
E3171.pdf |
|
E3164 |
CA19-9 |
1:100 |
IHC-P |
Hu |
1.0ml |
328 € |
E3164.pdf |
|
E3161 |
CA19-9 |
Ready-to-use |
IHC-P |
Hu |
7.0ml |
237 € |
E3161.pdf |
|
E2364 |
Cadherin (pan) |
1:100 |
IHC-P |
Hu |
1.0ml |
497 € |
E2364.pdf |
|
E2361 |
Cadherin (pan) |
Ready-to-use |
IHC-P |
Hu |
7.0ml |
263 € |
E2361.pdf |
|
E8644 |
Cadherin E / E-Cadherin |
1:100 |
IHC-P |
Hu |
1.0ml |
510 € |
E8644.pdf |
|
E3464 |
Cadherin E / E-Cadherin |
1:30 |
IHC-P |
Hu |
1.0ml |
445 € |
E3464.pdf |
|
E3461 |
Cadherin E / E-Cadherin |
Ready-to-use |
IHC-P |
Hu |
7.0ml |
237 € |
E3461.pdf |
|
E8641 |
Cadherin E / E-Cadherin |
Ready-to-use |
IHC-P |
Hu |
7.0ml |
289 € |
E8641.pdf |
|
E10401 |
Cadherin-N |
Ready-to-use |
IHC-P |
Hu |
7ml |
289 € |
E10401.pdf |
|
E10344 |
Calbindin D28 |
1:400 |
IHC-P, WB |
Hu, Ms, Rt |
1.0ml |
510 € |
E10344.pdf |
|
E10341 |
Calbindin D28 |
Ready-to-use |
IHC-P |
Hu, Ms, Rt |
7.0ml |
289 € |
E10341.pdf |
|
E1154 |
Calcitonin |
1:300 |
IHC-P |
Hu, Ms, Rt, Mk, Dg |
1.0ml |
510 € |
E1154.pdf |
|
E1151 |
Calcitonin |
Ready-to-use |
IHC-P |
Hu, Ms, Rt, Mk, Dg |
7.0ml |
276 € |
E1151.pdf |
|
E10624 |
Calcium Sensing Receptor |
1:50 |
IHC-P, WB |
Hu, Rt |
1.0ml |
510 € |
E10624.pdf |
|
E10621 |
Calcium Sensing Receptor |
Ready-to-use |
IHC-P |
Hu, Rt |
7.0ml |
289 € |
E10621.pdf |
|
E4864 |
Caldesmon |
1:100 |
IHC-P |
Hu |
1.0ml |
432 € |
E4864.pdf |
|
E4861 |
Caldesmon |
Ready-to-use |
IHC-P |
Hu |
7.0ml |
302 € |
E4861.pdf |
|
E4874 |
Calponin |
1:100 |
IHC-P |
Hu |
1.0ml |
432 € |
E4874.pdf |
|
E4871 |
Calponin |
Ready-to-use |
IHC-P |
Hu |
7.0ml |
302 € |
E4871.pdf |
|
E1174 |
Calretinin |
1:200 |
IHC-P |
Hu, Ms, Rt |
1.0ml |
445 € |
E1174.pdf |
|
E1171 |
Calretinin |
Ready-to-use |
IHC-P |
Hu, Ms, Rt |
7.0ml |
302 € |
E1171.pdf |
|
E10604 |
CaM Kinase IV |
1:50 |
IHC-P, WB |
Hu, Rt |
1.0ml |
445 € |
E10604.pdf |
|
E10601 |
CaM Kinase IV |
Ready-to-use |
IHC-P |
Hu, Rt |
7.0ml |
289 € |
E10601.pdf |
|
E13854 |
CaM Kinase Kinase alpha |
1:50 |
IHC-P |
Hu, Rt |
1.0ml |
510 € |
E13854.pdf |
|
E13851 |
CaM Kinase Kinase alpha |
Ready-to-use |
IHC-P |
Hu, Rt |
7.0ml |
289 € |
E13851.pdf |
|
E10814 |
CAS |
1:100 |
IHC-P, WB |
Hu, Ms, Rt |
1.0ml |
445 € |
E10814.pdf |
|
E10811 |
CAS |
Ready-to-use |
IHC-P |
Hu, Ms, Rt |
7.0ml |
289 € |
E10811.pdf |
|
E3914 |
Caspase 1 |
1:50 |
IHC-P, WB, IP |
Hu, Ms, Rt |
1.0ml |
445 € |
E3914.pdf |
|
E3911 |
Caspase 1 |
Ready-to-use |
IHC-P |
Hu, Ms, Rt |
7.0ml |
211 € |
E3911.pdf |
|
E10854 |
Caspase 10 |
1:100 |
IHC-P |
Hu |
1.0ml |
627 € |
E10854.pdf |
|
E10851 |
Caspase 10 |
Ready-to-use |
IHC-P |
Hu |
7.0ml |
289 € |
E10851.pdf |
|
E6574 |
Caspase 3 |
1:50 |
IHC-P,WB,IP |
Hu |
1ml |
627 € |
E6574.pdf |
|
E6571 |
Caspase 3 |
Ready-to-use |
IHC-P |
Hu |
7ml |
302 € |
E6571.pdf |
|
E2284 |
Caspase 8 |
1:100 |
IHC-P, WB, IP |
Hu |
1.0ml |
627 € |
E2284.pdf |
|
E2281 |
Caspase 8 |
Ready-to-use |
IHC-P |
Hu |
7.0ml |
302 € |
E2281.pdf |
|
E2294 |
Caspase 9 |
1:100 |
IHC-P, WB, IP |
Hu |
1.0ml |
627 € |
E2294.pdf |
|
E2291 |
Caspase 9 |
ready-to-use |
IHC-P |
Hu |
7.0ml |
302 € |
E2291.pdf |
|
E3334 |
Catenin-alpha |
1:300 |
IHC-P |
Hu, Ms, Xe |
1.0ml |
445 € |
E3334.pdf |
|
E3331 |
Catenin-alpha |
Ready-to-use |
IHC-P, WB |
Hu, Ms, Xe |
7.0ml |
237 € |
E3331.pdf |
|
E2264 |
Catenin-beta |
1:250 |
IHC-P, WB, IP |
Hu, Ms, Rt |
1.0ml |
497 € |
E2264.pdf |
|
E2261 |
Catenin-beta |
Ready-to-use |
IHC-P |
Hu, Ms, Rt |
7.0ml |
263 € |
E2261.pdf |
|
E3684 |
Catenin-gamma |
1:100 |
IHC-P, WB, IP |
Hu, Ms, Rt |
1.0ml |
445 € |
E3684.pdf |
|
E3681 |
Catenin-gamma |
Ready-to-use |
IHC-P |
Hu, Ms, Rt |
7.0ml |
211 € |
E3681.pdf |
|
E2824 |
Cathepsin D |
1:50 |
IHC-P |
Hu |
1.0ml |
497 € |
E2824.pdf |
|
E2821 |
Cathepsin D |
Ready-to-use |
IHC-P |
Hu |
7.0ml |
289 € |
E2821.pdf |
|
E17644 |
Caveolin 1 |
1:100 |
IHC-P |
Hu |
1ml |
510 € |
E17644.pdf |
|
E17641 |
Caveolin 1 |
Ready-to-use |
IHC-P |
Hu |
7ml |
302 € |
E17641.pdf |
|
E10784 |
Caveolin-1 |
1:100 |
IHC-P, WB |
Hu |
1.0ml |
497 € |
E10784.pdf |
|
E10781 |
Caveolin-1 |
Ready-to-use |
IHC-P |
Hu |
7.0ml |
289 € |
E10781.pdf |
|
E13844 |
CBP |
1:100 |
IHC-P |
Hu, Ms, Rt |
1.0ml |
497 € |
E13844.pdf |
|
E13841 |
CBP |
Ready-to-use |
IHC-P |
Hu, Ms, Rt |
7.0ml |
289 € |
E13841.pdf |
|
E4514 |
CCK-8 |
1:200 |
IHC-P |
Hu |
1.0ml |
497 € |
E4514.pdf |
|
E4511 |
CCK-8 |
Ready-to-use |
IHC-P |
Hu |
7.0ml |
237 € |
E4511.pdf |
|
E10794 |
CCR8 |
1:25 |
IHC-P, WB |
Hu |
1.0ml |
497 € |
E10794.pdf |
|
E10791 |
CCR8 |
Ready-to-use |
IHC-P |
Hu |
7.0ml |
289 € |
E10791.pdf |
|
E1194 |
CD10 |
1:25 |
IHC-P |
Hu |
1.0ml |
679 € |
E1194.pdf |
|
E1191 |
CD10 |
Ready-to-use |
IHC-P |
Hu |
7.0ml |
406 € |
E1191.pdf |
|
E4234 |
CD105 |
1:50 (30') |
IHC-P |
Hu |
1.0ml |
445 € |
E4234.pdf |
|
E4231 |
CD105 |
Ready-to-use |
IHC-P |
Hu |
7.0ml |
211 € |
E4231.pdf |
|
E1444 |
CD117 / c-kit |
1:100 |
IHC-P |
Hu |
1.0ml |
497 € |
E1444.pdf |
|
E1441 |
CD117 / c-kit |
Ready-to-use |
IHC-P |
Hu |
7.0ml |
276 € |
E1441.pdf |
|
E4564 |
CD138 |
1:50 |
IHC-P |
Hu |
1.0ml |
445 € |
E4564.pdf |
|
E4561 |
CD138 |
Ready-to-use |
IHC-P |
Hu |
7.0ml |
237 € |
E4561.pdf |
|
E11134 |
CD146 |
1:50 |
IHC-P |
Hu |
200ug |
445 € |
E11134.pdf |
|
E11131 |
CD146 |
Ready-to-use |
IHC-P |
Hu |
7.0ml |
289 € |
E11131.pdf |
|
E11164 |
CD15 |
1:50 |
IHC-P |
Hu |
200ug |
510 € |
E11164.pdf |
|
E1204 |
CD15 |
1:50 |
IHC-P |
Hu |
1.0ml |
302 € |
E1204.pdf |
|
E1201 |
CD15 |
Ready-to-use |
IHC-P |
Hu |
7.0ml |
211 € |
E1201.pdf |
|
E11161 |
CD15 |
Ready-to-use |
IHC-P |
Hu |
7.0ml |
289 € |
E11161.pdf |
|
E1214 |
CD1a |
1:50 |
IHC-P |
Hu |
1.0ml |
679 € |
E1214.pdf |
|
e1211 |
CD1a |
Ready-to-use |
IHC-P |
Hu |
7.0ml |
367 € |
e1211.pdf |
|
E3044 |
CD2 |
1:50 |
IHC-P |
Hu |
1.0ml |
445 € |
E3044.pdf |
|
E3041 |
CD2 |
Ready-to-use |
IHC-P |
Hu |
7.0ml |
211 € |
E3041.pdf |
|
E2564 |
CD20 |
1:100-1:300 |
IHC-P, WB, IP |
Hu |
1.0ml |
406 € |
E2564.pdf |
|
E2561 |
CD20 |
Ready-to-use |
IHC-P |
Hu |
7.0ml |
198 € |
E2561.pdf |
|
E3024 |
CD23 |
1:100 |
IHC-P |
Hu |
1.0ml |
445 € |
E3024.pdf |
|
E3021 |
CD23 |
Ready-to-use |
IHC-P |
Hu |
7.0ml |
211 € |
E3021.pdf |
|
E1254 |
CD3 |
1:100 |
IHC-P, WB |
Hu, Mk, Dg |
1.0ml |
484 € |
E1254.pdf |
|
E1251 |
CD3 |
Ready-to-use |
IHC-P |
Hu, Mk, Dg |
7.0ml |
302 € |
E1251.pdf |
|
E3054 |
CD3 zeta |
1:200 |
IHC-P, WB, IP |
Hu, Ms, Rt |
1.0ml |
445 € |
E3054.pdf |
|
E3051 |
CD3 zeta |
Ready-to-use |
IHC-P |
Hu, Ms, Rt |
7.0ml |
211 € |
E3051.pdf |
|
E17414 |
CD30 |
1:100 |
IHC-P |
Hu |
1ml |
510 € |
E17414.pdf |
|
E1264 |
CD30 |
1:50 (30') |
IHC-P |
Hu |
1.0ml |
484 € |
E1264.pdf |
|
E13484 |
CD30 |
1:25 |
IHC-P, WB |
Hu |
1ml |
510 € |
E13484.pdf |
|
E13481 |
CD30 |
Ready-to-use |
IHC-P |
Hu |
7ml |
289 € |
E13481.pdf |
|
E17411 |
CD30 |
Ready-to-use |
IHC-P |
Hu |
7ml |
302 € |
E17411.pdf |
|
E1261 |
CD30 |
Ready-to-use (30') |
IHC-P |
Hu |
7.0ml |
211 € |
E1261.pdf |
|
E11114 |
CD31 |
1:50 |
IHC-P |
Hu |
200ug |
419 € |
E11114.pdf |
|
E1274 |
CD31 |
1:50 (30') |
IHC-P, IF |
Hu, Ms |
1.0ml |
510 € |
E1274.pdf |
|
E11111 |
CD31 |
Ready-to-use |
IHC-P |
Hu |
7.0ml |
289 € |
E11111.pdf |
|
E1271 |
CD31 |
Ready-to-use (30') |
IHC-P |
Hu, Ms |
7.0ml |
237 € |
E1271.pdf |
|
E17544 |
CD34 |
1:100 |
IHC-P |
Hu |
1ml |
510 € |
E17544.pdf |
|
E1284 |
CD34 |
1:200 |
IHC-P |
Hu |
1.0ml |
536 € |
E1284.pdf |
|
E1281 |
CD34 |
Ready-to-use |
IHC-P |
Hu |
7.0ml |
263 € |
E1281.pdf |
|
E17541 |
CD34 |
Ready-to-use |
IHC-P |
Hu |
7ml |
302 € |
E17541.pdf |
|
E1294 |
CD4 |
1:20 |
IHC-P |
Hu |
1.0ml |
744 € |
E1294.pdf |
|
E1291 |
CD4 |
Ready-to-use |
IHC-P |
Hu |
7.0ml |
445 € |
E1291.pdf |
|
E3704 |
CD40 |
1:100 |
IHC-P, WB, IP |
Hu, Ms, Rt |
1.0ml |
445 € |
E3704.pdf |
|
E3701 |
CD40 |
Ready-to-use |
IHC-P |
Hu, Ms, Rt |
7.0ml |
211 € |
E3701.pdf |
|
E17364 |
CD44 |
1:100 |
IHC-P |
Hu |
1ml |
510 € |
E17364.pdf |
|
E17374 |
CD44 |
1:100 |
IHC-P |
Hu |
1ml |
510 € |
E17374.pdf |
|
E17361 |
CD44 |
Ready-to-use |
IHC-P |
Hu |
7ml |
302 € |
E17361.pdf |
|
E17371 |
CD44 |
Ready-to-use |
IHC-P |
Hu |
7ml |
302 € |
E17371.pdf |
|
E12434 |
CD45 / LCA |
1:200 |
IHC-P |
Hu |
1.0ml |
510 € |
E12434.pdf |
|
E12431 |
CD45 / LCA |
Ready-to-use |
IHC-P |
Hu |
7.0ml |
289 € |
E12431.pdf |
|
E1334 |
CD45/T200/LCA |
1:50 |
IHC-P |
Hu |
1.0ml |
289 € |
E1334.pdf |
|
E1331 |
CD45/T200/LCA |
Ready-to-use |
IHC-P |
Hu |
7.0ml |
198 € |
E1331.pdf |
|
E16484 |
CD45RA |
1:50 |
IHC-P |
Hu |
1.0ml |
510 € |
E16484.pdf |
|
E16481 |
CD45RA |
Ready-to-use |
IHC-P |
Hu |
7.0ml |
302 € |
E16481.pdf |
|
E1324 |
CD45RO |
1:40 |
IHC-P |
Hu |
1.0ml |
471 € |
E1324.pdf |
|
E1321 |
CD45RO |
Ready-to-use |
IHC-P |
Hu |
7.0ml |
250 € |
E1321.pdf |
|
E2474 |
CD5 |
1:200 |
IHC-P |
Hu |
1.0ml |
536 € |
E2474.pdf |
|
E14334 |
CD5 |
1:40 |
IHC-P |
Hu |
1.0ml |
536 € |
E14334.pdf |
|
E14331 |
CD5 |
Ready-to-use |
IHC-P |
Hu |
7.0ml |
341 € |
E14331.pdf |
|
E2471 |
CD5 |
Ready-to-use |
IHC-P |
Hu |
7.0ml |
276 € |
E2471.pdf |
|
E16494 |
CD50 |
1:100 |
IHC-P |
Hu |
1.0ml |
484 € |
E16494.pdf |
|
E16491 |
CD50 |
Ready-to-use |
IHC-P |
Hu |
7.0ml |
289 € |
E16491.pdf |
|
E11094 |
CD56 |
1:100 |
IHC-P |
Hu |
200ug |
367 € |
E11094.pdf |
|
E1374 |
CD56 |
1:100 |
IHC-P |
Hu |
1.0ml |
328 € |
E1374.pdf |
|
E11104 |
CD56 |
1:50 |
IHC-P |
Hu |
200ug |
367 € |
E11104.pdf |
|
E4474 |
CD56 |
1:50 |
IHC-P |
Hu |
1ml |
497 € |
E4474.pdf |
|
E11101 |
CD56 |
Ready-to-use |
IHC-P |
Hu |
7.0ml |
289 € |
E11101.pdf |
|
E11091 |
CD56 |
Ready-to-use |
IHC-P |
Hu |
7.0ml |
289 € |
E11091.pdf |
|
E1371 |
CD56 |
Ready-to-use |
IHC-P |
Hu |
7.0ml |
172 € |
E1371.pdf |
|
E1384 |
CD57 |
1:50 |
IHC-P |
Hu |
1.0ml |
406 € |
E1384.pdf |
|
E1381 |
CD57 |
Ready-to-use |
IHC-P |
Hu |
7.0ml |
198 € |
E1381.pdf |
|
E17514 |
CD63 |
1:200 |
IHC-P |
Hu |
1ml |
510 € |
E17514.pdf |
|
E17511 |
CD63 |
Ready-to-use |
IHC-P |
Hu |
7ml |
302 € |
E17511.pdf |
|
E1394 |
CD68 |
1:40 |
IHC-P |
Hu, Rt, Mk |
1.0ml |
471 € |
E1394.pdf |
|
E1391 |
CD68 |
Ready-to-use |
IHC-P |
Hu, Rt, Mk |
7.0ml |
211 € |
E1391.pdf |
|
E17424 |
CD74 |
1:100 |
IHC-P |
Hu |
1ml |
510 € |
E17424.pdf |
|
E17421 |
CD74 |
Ready-to-use |
IHC-P |
Hu |
7ml |
302 € |
E17421.pdf |
|
E2494 |
CD79a |
1:200 |
IHC-P, WB, IF |
Hu |
1.0ml |
354 € |
E2494.pdf |
|
E2491 |
CD79a |
Ready-to-use |
IHC-P |
Hu |
7.0ml |
172 € |
E2491.pdf |
|
E2484 |
CD8 |
1:200 |
IHC-P |
Hu |
1.0ml |
614 € |
E2484.pdf |
|
E2481 |
CD8 |
Ready-to-use |
IHC-P |
Hu |
7.0ml |
302 € |
E2481.pdf |
|
E11014 |
CD9 |
1:50 |
IHC-P, WB |
Hu |
1.0ml |
627 € |
E11014.pdf |
|
E11011 |
CD9 |
Ready-to-use |
IHC-P |
Hu |
7.0ml |
289 € |
E11011.pdf |
|
E2504 |
CD95 |
1:200 |
IHC-P |
Hu |
1.0ml |
510 € |
E2504.pdf |
|
E2501 |
CD95 |
Ready-to-use |
IHC-P |
Hu |
7.0ml |
393 € |
E2501.pdf |
|
E3394 |
CD99 |
1:200 |
IHC-P |
Hu |
1.0ml |
419 € |
E3394.pdf |
|
E3391 |
CD99 |
Ready-to-use |
IHC-P |
Hu |
7.0ml |
211 € |
E3391.pdf |
|
E4154 |
CDC2 p34 |
1:200 |
IHC-P, WB, IP |
Hu, Ms, Rt |
1.0ml |
445 € |
E4154.pdf |
|
E4151 |
CDC2 p34 |
Ready-to-use |
IHC-P |
Hu, Ms, Rt |
7.0ml |
211 € |
E4151.pdf |
|
E5574 |
CDC25A |
1:50 |
IHC-P,WB,IP,IF |
Hu,Rt |
1.0ml |
549 € |
E5574.pdf |
|
E5571 |
CDC25A |
Ready-to-use |
IHC-P |
Hu,Rt |
7.0ml |
289 € |
E5571.pdf |
|
E14324 |
CDC37 |
1:100 |
IHC-P |
Hu |
1.0ml |
497 € |
E14324.pdf |
|
E14321 |
CDC37 |
Ready-to-use |
IHC-P |
Hu |
7.0ml |
289 € |
E14321.pdf |
|
E7234 |
CDC47 |
|
IHC-P,WB,IP,IF |
Hu,Ms,Rt,Do |
200ug |
627 € |
E7234.pdf |
|
E4894 |
CDC7 Phosphatase |
50(60') |
IHC-P,WB,IP |
Hu |
1.0ml |
549 € |
E4894.pdf |
|
E4891 |
CDC7 Phosphatase |
Ready-to-use |
IHC-P |
Hu |
7.0ml |
302 € |
E4891.pdf |
|
E5584 |
Cdk1/p34cdc2 |
1:50 |
IHC-P,WB,IP,KA |
Hu,Ms,Rt,Gp,Ca |
1.0ml |
575 € |
E5584.pdf |
|
E5581 |
Cdk1/p34cdc2 |
Ready-to-use |
IHC-P |
Hu,Ms,Rt,Gp,Ca |
7.0ml |
302 € |
E5581.pdf |
|
E5594 |
Cdk2 |
1:50 |
IHC-P,WB,IF |
Hu,Ms,Rt |
1.0ml |
575 € |
E5594.pdf |
|
E5591 |
Cdk2 |
Ready-to-use |
IHC-P |
Hu,Ms,Rt |
7.0ml |
302 € |
E5591.pdf |
|
E17664 |
Cdk8 |
na |
WB |
Hu |
200µg |
510 € |
E17664.pdf |
|
E17404 |
CDX2 |
1:100 |
IHC-P |
Hu |
1ml |
510 € |
E17404.pdf |
|
E17804 |
CDX2 |
1:100 |
IHC-P |
Hu |
1ml |
510 € |
E17804.pdf |
|
E17801 |
CDX2 |
Ready-to-use |
IHC-P |
Hu |
7ml |
302 € |
E17801.pdf |
|
E17401 |
CDX2 |
Ready-to-use |
IHC-P |
Hu |
7ml |
302 € |
E17401.pdf |
|
E2974 |
CEA |
1:200 |
IHC-P, WB |
Hu |
1.0ml |
250 € |
E2974.pdf |
|
E16504 |
CEA |
1:200 |
IHC-P |
Hu |
1.0ml |
510 € |
E16504.pdf |
|
E16501 |
CEA |
Ready-to-use |
IHC-P |
Hu |
7.0ml |
302 € |
E16501.pdf |
|
E2971 |
CEA |
Ready-to-use |
IHC-P |
Hu |
7.0ml |
172 € |
E2971.pdf |
|
E16504 |
CEA / CD66e |
1:200 |
IHC-P |
Hu |
1.0ml |
510 € |
E16504.pdf |
|
E16501 |
CEA / CD66e |
Ready-to-use |
IHC-P |
Hu |
7.0ml |
302 € |
E16501.pdf |
|
E1524 |
Chromogranin A |
1:400 |
IHC-P |
Hu, Rt, Mk |
1.0ml |
302 € |
E1524.pdf |
|
E6674 |
Chromogranin A |
1:100 |
IHC-P, WB |
Hu,Rb,Rt,Pg,Mn |
1ml |
380 € |
E6674.pdf |
|
E6671 |
Chromogranin A |
Ready-to-use |
IHC-P |
Hu,Rb,Rt,Pg,Mn |
7ml |
302 € |
E6671.pdf |
|
E1521 |
Chromogranin A |
Ready-to-use |
IHC-P |
Hu, Rt, Mk |
7.0ml |
172 € |
E1521.pdf |
|
E3514 |
CITED1 |
1:50 |
IHC-P |
Hu |
1.0ml |
445 € |
E3514.pdf |
|
E3511 |
CITED1 |
Ready-to-use |
IHC-P |
Hu |
7.0ml |
237 € |
E3511.pdf |
|
E4924 |
Clathrin |
1:50 |
IHC-P,WB,IP,IF |
Hu,Co |
1.0ml |
536 € |
E4924.pdf |
|
E4921 |
Clathrin |
Ready-to-use |
IHC-P |
Hu,Co |
7.0ml |
302 € |
E4921.pdf |
|
E3414 |
Claudin 1 |
1:200 |
IHC-P |
Hu, Ms, Rt, Ch |
1.0ml |
471 € |
E3414.pdf |
|
E3411 |
Claudin 1 |
Ready-to-use |
IHC-P |
Hu, Ms, Rt, Ch |
7.0ml |
211 € |
E3411.pdf |
|
E10244 |
Claudin 10 |
1:50 |
IHC-P |
Hu, Ms, Rt |
1.0ml |
510 € |
E10244.pdf |
|
E10241 |
Claudin 10 |
Ready-to-use |
IHC-P |
Hu, Ms, Rt |
7.0ml |
289 € |
E10241.pdf |
|
E8774 |
Claudin 11 |
1:400 |
IHC-P, WB |
Hu, Ms, Rt |
1.0ml |
510 € |
E8774.pdf |
|
E8771 |
Claudin 11 |
Ready-to-use |
IHC-P |
Hu, Ms, Rt |
7.0ml |
289 € |
E8771.pdf |
|
E3924 |
Claudin 2 |
1:100 |
IHC-P |
Hu, Ms |
1.0ml |
445 € |
E3924.pdf |
|
E3921 |
Claudin 2 |
Ready-to-use |
IHC-P |
Hu, Ms |
7.0ml |
211 € |
E3921.pdf |
|
E8794 |
Claudin 20 |
? |
IHC-P |
Hu |
1.0ml |
510 € |
E8794.pdf |
|
E8791 |
Claudin 20 |
Ready-to-use |
IHC-P |
Hu |
7.0ml |
302 € |
E8791.pdf |
|
E3834 |
Claudin 3 |
1:100 |
IHC-P, WB |
Hu, Ms, Rt |
1.0ml |
445 € |
E3834.pdf |
|
E3831 |
Claudin 3 |
Ready-to-use |
IHC-P |
Hu, Ms, Rt |
7.0ml |
211 € |
E3831.pdf |
|
E3984 |
Claudin 4 |
1:200 |
IHC-P, WB |
Hu, Ms |
1.0ml |
445 € |
E3984.pdf |
|
E3981 |
Claudin 4 |
Ready-to-use |
IHC-P |
Hu, Ms |
7.0ml |
211 € |
E3981.pdf |
|
E3754 |
Claudin 5 |
1:50 |
IHC-P, WB |
Hu, Ms |
1.0ml |
445 € |
E3754.pdf |
|
E3751 |
Claudin 5 |
Reay-to-use |
IHC-P |
Hu, Ms |
7.0ml |
211 € |
E3751.pdf |
|
E10594 |
Claudin 7 |
1:200 |
IHC-P |
Hu, Ms, Rt |
1.0ml |
510 € |
E10594.pdf |
|
E10591 |
Claudin 7 |
Ready-to-use |
IHC-P |
Hu, Ms, Rt |
7.0ml |
289 € |
E10591.pdf |
|
E5624 |
CNPase |
1:50 |
IHC-P,WB,IF |
Hu,Ms,Rt,Mo |
1.0ml |
549 € |
E5624.pdf |
|
E5621 |
CNPase |
Ready-to-use |
IHC-P |
Hu,Ms,Rt,Mo |
7.0ml |
302 € |
E5621.pdf |
|
E5634 |
Collagen II |
1:50 |
IHC-P,WB,IF,FC |
Hu,Ms,Rt,Ca |
1.0ml |
627 € |
E5634.pdf |
|
E5631 |
Collagen II |
Ready-to-use |
IHC-P |
Hu,Ms,Rt,Ca |
7.0ml |
302 € |
E5631.pdf |
|
E1534 |
Collagen IV |
1:40 |
IHC-P |
Hu |
1.0ml |
445 € |
E1534.pdf |
|
E1531 |
Collagen IV |
Ready-to-use |
IHC-P |
Hu |
7.0ml |
250 € |
E1531.pdf |
|
E2744 |
Connexin 43 |
1:50 |
IHC-P, WB, IP |
Hu, Ms, Rt |
1.0ml |
510 € |
E2744.pdf |
|
E2741 |
Connexin 43 |
Ready-to-use |
IHC-P |
Hu, Ms, Rt |
7.0ml |
237 € |
E2741.pdf |
|
E10254 |
Corticotropin Releasing Factor |
1:100 |
IHC-P |
Hu, Ms, Rt |
1.0ml |
510 € |
E10254.pdf |
|
E10251 |
Corticotropin Releasing Factor |
Ready-to-use |
IHC-P |
Hu, Ms, Rt |
7.0ml |
289 € |
E10251.pdf |
|
E14314 |
COX-1 |
1:100 |
IHC-P |
Hu |
1.0ml |
510 € |
E14314.pdf |
|
E14311 |
COX-1 |
Ready-to-use |
IHC-P |
Hu |
7.0ml |
289 € |
E14311.pdf |
|
E3034 |
COX2 |
1:100 |
IHC-P, WB, IP |
Hu, Ms, Rt |
1.0ml |
445 € |
E3034.pdf |
|
E3031 |
COX2 |
Ready-to-use |
IHC-P |
Hu, Ms, Rt |
7.0ml |
211 € |
E3031.pdf |
|
E3794 |
Cullin-1 |
1:50 |
IHC-P, WB, IP |
Hu, Ms |
1.0ml |
445 € |
E3794.pdf |
|
E3791 |
Cullin-1 |
Ready-to-use |
IHC-P |
Hu, Ms |
7.0ml |
211 € |
E3791.pdf |
|
E15004 |
Cullin-1 antibody |
|
IHC-P, IP, WB |
Hu, Ms |
1ml |
588 € |
E15004.pdf |
|
E4164 |
Cullin-2 |
1:200 |
IHC-P, WB |
Hu, Ms |
1.0ml |
445 € |
E4164.pdf |
|
E4161 |
Cullin-2 |
Ready-to-use |
IHC-P |
Hu, Ms |
7.0ml |
211 € |
E4161.pdf |
|
E4944 |
Cullin-3 (CUL-3) |
1:124 |
IHC-P,IP |
Hu,Ms |
1.0ml |
627 € |
E4944.pdf |
|
E4941 |
Cullin-3 (CUL-3) |
Ready-to-use |
IHC-P |
Hu,Ms |
7.0ml |
302 € |
E4941.pdf |
|
E7384 |
Cyclin A |
|
IHC-P,WB,IP |
Hu,Ms,Rt |
500ug |
549 € |
E7384.pdf |
|
E4104 |
Cyclin B1 |
1:200 |
IHC-P, WB, IP |
Hu, Ms, Rt |
1.0ml |
445 € |
E4104.pdf |
|
E4101 |
Cyclin B1 |
Ready-to-use |
IHC-P |
Hu, Ms, Rt |
7.0ml |
211 € |
E4101.pdf |
|
E1544 |
Cyclin D1 |
1:200 |
IHC-P, WB, IP |
Hu, Ms, Rt |
1.0ml |
445 € |
E1544.pdf |
|
E1541 |
Cyclin D1 |
Ready-to-use |
IHC-P |
Hu, Ms, Rt |
7.0ml |
302 € |
E1541.pdf |
|
E5654 |
Cyclin D3 |
1:50 |
IHC-P,WB,IP,IF,FC |
Hu,Ms,Rt,Mo |
1.0ml |
549 € |
E5654.pdf |
|
E5651 |
Cyclin D3 |
Ready-to-use |
IHC-P |
Hu,Ms,Rt,Mo |
7.0ml |
302 € |
E5651.pdf |
|
E3604 |
Cyclin E |
1:50 |
IHC-P, WB, IP |
Hu, Ms |
1.0ml |
406 € |
E3604.pdf |
|
E3601 |
Cyclin E |
Ready-to-use |
IHC-P |
Hu, Ms |
7.0ml |
211 € |
E3601.pdf |
|
E7414 |
Cytochrome c |
|
IHC-P,WB |
Hu,Ms,Rt,Do |
200ug |
549 € |
E7414.pdf |
|
E12414 |
Cytochrome C |
1:50 |
IHC-P |
Hu |
1.0ml |
510 € |
E12414.pdf |
|
E12411 |
Cytochrome C |
Ready-to-use |
IHC-P |
Hu |
7.0ml |
289 € |
E12411.pdf |
|
E16361 |
D2-40 |
Ready-to-use |
IHC-P |
Hu |
7.0ml |
302 € |
E16361.pdf |
|
E2434 |
D4-GDI |
Concentrate |
IHC-P, WB |
Hu |
1.0ml |
445 € |
E2434.pdf |
|
E2431 |
D4-GDI |
Ready-to-use |
IHC-P |
Hu |
7.0ml |
263 € |
E2431.pdf |
|
E12584 |
D5DR |
1:50 |
IHC-P |
Hu |
1.0ml |
510 € |
E12584.pdf |
|
E12581 |
D5DR |
Ready-to-use |
IHC-P |
Hu |
7.0ml |
289 € |
E12581.pdf |
|
E16864 |
DAPK2 |
1:50 |
IHC-P |
Hu |
1.0ml |
510 € |
E16864.pdf |
|
E16861 |
DAPK2 |
Ready-to-use |
IHC-P |
Hu |
7.0ml |
302 € |
E16861.pdf |
|
E2574 |
Desmin |
1:200 |
IHC-P, WB, IP |
Hu, Ms, Rt |
1.0ml |
380 € |
E2574.pdf |
|
E2571 |
Desmin |
Ready-to-use |
IHC-P |
Hu, Ms, Rt |
7.0ml |
172 € |
E2571.pdf |
|
E3904 |
DFF-45 |
1:100 |
IHC-P, WB |
Hu |
1.0ml |
445 € |
E3904.pdf |
|
E3901 |
DFF-45 |
Readdy-to-use |
IHC-P |
Hu |
7.0ml |
211 € |
E3901.pdf |
|
E8764 |
DJ-1 |
1:50 |
IHC-P, WB |
Hu, Ms |
1.0ml |
510 € |
E8764.pdf |
|
E8761 |
DJ-1 |
Ready-to-use |
IHC-P |
Hu, Ms |
1.0ml |
289 € |
E8761.pdf |
|
E4974 |
DNA Polymerase Beta |
1:10(60') |
IHC-P,WB |
Hu |
1.0ml |
679 € |
E4974.pdf |
|
E4971 |
DNA Polymerase Beta |
Ready-to-use |
IHC-P |
Hu |
7.0ml |
302 € |
E4971.pdf |
|
E5664 |
DNA-PKcs |
1:50 |
IHC-P,WB,IP,IF |
Hu,Rt |
1.0ml |
627 € |
E5664.pdf |
|
E5661 |
DNA-PKcs |
Ready-to-use |
IHC-P |
Hu,Rt |
7.0ml |
302 € |
E5661.pdf |
|
E16714 |
DOG-1 |
1:100 |
IHC-P |
Hu |
1.0ml |
510 € |
E16714.pdf |
|
E16711 |
DOG-1 |
Ready-to-use |
IHC-P |
Hu |
7.0ml |
302 € |
E16711.pdf |
|
E16834 |
DOK1 |
1:50 |
IHC-P |
Hu |
1.0ml |
510 € |
E16834.pdf |
|
E16831 |
DOK1 |
Ready-to-use |
IHC-P |
Hu |
7.0ml |
302 € |
E16831.pdf |
|
E16734 |
DOK2 |
1:100 |
IHC-P |
Hu |
1.0ml |
510 € |
E16734.pdf |
|
E16731 |
DOK2 |
Ready-to-use |
IHC-P |
Hu |
7.0ml |
302 € |
E16731.pdf |
|
E4984 |
DP-1 |
1:50 |
IHC-P,WB,IF,GSA |
Hu,Ms,Rt |
1.0ml |
679 € |
E4984.pdf |
|
E4981 |
DP-1 |
Ready-to-use |
IHC-P |
Hu,Ms,Rt |
7.0ml |
302 € |
E4981.pdf |
|
E16754 |
DRAK2 |
1:100 |
IHC-P |
Hu |
1.0ml |
510 € |
E16754.pdf |
|
E16751 |
DRAK2 |
Ready-to-use |
IHC-P |
Hu |
7.0ml |
302 € |
E16751.pdf |
|
E2674 |
Dysferlin |
1:50 |
IHC-P, WB |
Hu |
1.0ml |
445 € |
E2674.pdf |
|
E2671 |
Dysferlin |
Ready-to-use |
IHC-P |
Hu |
7.0ml |
211 € |
E2671.pdf |
|
E2664 |
Dystrophin |
1:100 |
IHC-P, WB |
Hu, Rt |
1.0ml |
445 € |
E2664.pdf |
|
E14014 |
Dystrophin |
1:50 |
IHC-P |
Hu, Rt |
1.0ml |
510 € |
E14014.pdf |
|
E6684 |
Dystrophin |
1:50 |
IHC-P,IF,AP |
Hu,Ms,Rt,Ck |
1ml |
536 € |
E6684.pdf |
|
E6681 |
Dystrophin |
Ready-to-use |
IHC-P |
Hu,Ms,Rt,Ck |
7ml |
302 € |
E6681.pdf |
|
E14011 |
Dystrophin |
Ready-to-use |
IHC-P |
Hu, Rt |
7.0ml |
289 € |
E14011.pdf |
|
E2661 |
Dystrophin |
Ready-to-use |
IHC-P |
Hu, Rt |
7.0ml |
198 € |
E2661.pdf |
|
E4994 |
E2F-4 |
1:50 |
IHC-P,WB,IF,GSA |
Hu,Rt |
1.0ml |
679 € |
E4994.pdf |
|
E4991 |
E2F-4 |
Ready-to-use |
IHC-P |
Hu,Rt |
7.0ml |
302 € |
E4991.pdf |
|
E2454 |
EGFR |
1:60 |
IHC-P, WB |
Hu |
1.0ml |
497 € |
E2454.pdf |
|
E6694 |
EGFR |
1:50 |
IHC-P,WB,IP |
Hu |
1ml |
627 € |
E6694.pdf |
|
E6691 |
EGFR |
Ready-to-use |
IHC-P |
Hu |
7ml |
302 € |
E6691.pdf |
|
E2451 |
EGFR |
Ready-to-use |
IHC-P |
Hu |
7.0ml |
276 € |
E2451.pdf |
|
E1574 |
EMA |
1:50 |
IHC-P |
Hu |
1.0ml |
302 € |
E1574.pdf |
|
E1571 |
EMA |
Ready-to-use |
IHC-P |
Hu |
7.0ml |
172 € |
E1571.pdf |
|
E11154 |
Ephrin A4 |
1:100 |
IHC-P |
Hu |
200ug |
510 € |
E11154.pdf |
|
E11151 |
Ephrin A4 |
Ready-to-use |
IHC-P |
Hu |
7.0ml |
289 € |
E11151.pdf |
|
E11224 |
Ephrin B3 |
1:100 |
IHC-P |
Hu |
200µg |
510 € |
E11224.pdf |
|
E11221 |
Ephrin B3 |
Ready-to-use |
IHC-P |
Hu |
7.0ml |
289 € |
E11221.pdf |
|
E10324 |
ERAB |
1:100 |
IHC-P, WB |
Hu, Ms, Rt |
1.0ml |
510 € |
E10324.pdf |
|
E10321 |
ERAB |
Ready-to-use |
IHC-P |
Hu, Ms, Rt |
7.0ml |
289 € |
E10321.pdf |
|
E5674 |
ERCC1 |
1:50 |
IHC-P,WB,IP |
Hu,Rt |
1.0ml |
627 € |
E5674.pdf |
|
E5671 |
ERCC1 |
Ready-to-use |
IHC-P |
Hu,Rt |
7.0ml |
302 € |
E5671.pdf |
|
E3564 |
ERK1 |
1:100 |
IHC-P, WB, IP |
Hu, Ms, Rt |
1.0ml |
445 € |
E3564.pdf |
|
E3561 |
ERK1 |
Ready-to-use |
IHC-P |
Hu, Ms, Rt |
7.0ml |
211 € |
E3561.pdf |
|
E3974 |
ERK2 |
1:200 |
IHC-P, WB, IP |
Hu, Ms, Rt |
1.0ml |
445 € |
E3974.pdf |
|
E3971 |
ERK2 |
Ready-to-use |
IHC-P |
Hu, Ms, Rt |
7.0ml |
211 € |
E3971.pdf |
|
E1594 |
ESA |
1:50 |
IHC-P |
Hu |
1.0ml |
640 € |
E1594.pdf |
|
E1591 |
ESA |
Ready-to-use |
IHC-P |
Hu |
7.0ml |
172 € |
E1591.pdf |
|
E11174 |
ESA / Ep-CAM |
1:100 |
IHC-P |
Hu |
200ug |
510 € |
E11174.pdf |
|
E11184 |
ESA / Ep-CAM |
1:100 |
IHC-P |
Hu |
200ug |
510 € |
E11184.pdf |
|
E11181 |
ESA / Ep-CAM |
Ready-to-use |
IHC-P |
Hu |
7.0ml |
289 € |
E11181.pdf |
|
E11171 |
ESA / Ep-CAM |
Ready-to-use |
IHC-P |
Hu |
7.0ml |
289 € |
E11171.pdf |
|
E1644 |
Estrogen Receptor |
1:200 |
IHC-P, WB |
Hu, Rt |
1.0ml |
445 € |
E1644.pdf |
|
E1641 |
Estrogen Receptor |
Ready-to-use |
IHC-P |
Hu, Rt |
7.0ml |
302 € |
E1641.pdf |
|
E14024 |
Estrogen Receptor beta |
1:50 |
IHC-P, WB |
Hu |
1.0ml |
510 € |
E14024.pdf |
|
E14021 |
Estrogen Receptor beta |
Ready-to-use |
IHC-P |
Hu |
7.0ml |
289 € |
E14021.pdf |
|
E5684 |
Ezrin / p81 / 80K / Cytovillin |
1:50 |
IHC-P,WB,IP |
Hu,Ms,Rt,Mo,Ca |
1.0ml |
627 € |
E5684.pdf |
|
E5681 |
Ezrin / p81 / 80K / Cytovillin |
Ready-to-use |
IHC-P |
Hu,Ms,Rt,Mo,Ca |
7.0ml |
302 € |
E5681.pdf |
|
E2244 |
Factor VIII Related Antigen |
1:100 |
IHC-P |
Hu |
1.0ml |
263 € |
E2244.pdf |
|
E2241 |
Factor VIII Related Antigen |
Ready-to-use |
IHC-P |
Hu |
7.0ml |
211 € |
E2241.pdf |
|
E2304 |
Factor VIIIa |
1:100 |
IHC-P, WB |
Hu |
1.0ml |
549 € |
E2304.pdf |
|
E2301 |
Factor VIIIa |
Ready-to-use |
IHC-P |
Hu |
7.0ml |
289 € |
E2301.pdf |
|
E5014 |
Factor XIIIa |
1:50 |
IHC-P,WB |
Hu |
1.0ml |
575 € |
E5014.pdf |
|
E5011 |
Factor XIIIa |
Ready-to-use |
IHC-P |
Hu |
7.0ml |
302 € |
E5011.pdf |
|
E12364 |
FAP-1 |
1:100 |
IHC-P |
Hu |
1.0ml |
510 € |
E12364.pdf |
|
E12361 |
FAP-1 |
Ready-to-use |
IHC-P |
Hu |
7.0ml |
289 € |
E12361.pdf |
|
E2714 |
Fas ligand |
1:100 |
IHC-P, WB |
Hu, Ms, Rt |
1.0ml |
510 € |
E2714.pdf |
|
E2711 |
Fas ligand |
Ready-to-use |
IHC-P |
Hu, Ms, Rt |
7.0ml |
211 € |
E2711.pdf |
|
E1654 |
Fascin |
1:50 |
IHC-P |
Hu, Rt |
1.0ml |
640 € |
E1654.pdf |
|
E1651 |
Fascin |
Ready-to-use |
IHC-P |
Hu, Rt |
7.0ml |
393 € |
E1651.pdf |
|
E10584 |
FGFR-1 |
1:50 |
IHC-P |
Hu |
1.0ml |
510 € |
E10584.pdf |
|
E10581 |
FGFR-1 |
Ready-to-use |
IHC-P |
Hu |
7.0ml |
289 € |
E10581.pdf |
|
E10574 |
FGFR-2 |
1:100 |
IHC-P |
Hu |
1.0ml |
510 € |
E10574.pdf |
|
E10571 |
FGFR-2 |
Ready-to-use |
IHC-P |
Hu |
7.0ml |
289 € |
E10571.pdf |
|
E10234 |
FGFR-3 |
1:25 |
IHC-P, WB |
Hu |
1.0ml |
510 € |
E10234.pdf |
|
E10231 |
FGFR-3 |
Ready-to-use |
IHC-P |
Hu |
7.0ml |
289 € |
E10231.pdf |
|
E8654 |
FHIT |
1:200 |
IHC-P |
Hu |
1.0ml |
510 € |
E8654.pdf |
|
E3644 |
FHIT |
1:200 |
IHC-P |
Hu |
1.0ml |
445 € |
E3644.pdf |
|
E3641 |
FHIT |
Ready-to-use |
IHC-P |
Hu |
7.0ml |
211 € |
E3641.pdf |
|
E8651 |
FHIT |
Ready-to-use |
IHC-P |
Hu |
7.0ml |
289 € |
E8651.pdf |
|
E5024 |
Filaggrin |
1:50 |
IHC-P |
Hu |
1.0ml |
575 € |
E5024.pdf |
|
E5021 |
Filaggrin |
Ready-to-use |
IHC-P |
Hu |
7.0ml |
302 € |
E5021.pdf |
|
E5034 |
Filamin |
1:50 |
IHC-P,WB |
Hu,Ms,Rt,Rb |
1.0ml |
484 € |
E5034.pdf |
|
E5031 |
Filamin |
Ready-to-use |
IHC-P |
Hu,Ms,Rt,Rb |
7.0ml |
302 € |
E5031.pdf |
|
E4284 |
Fli-1 |
1:50 (30') |
IHC-P, WB, IP |
Hu, Ms, Rt |
1.0ml |
445 € |
E4284.pdf |
|
E4281 |
Fli-1 |
Ready-to-use |
IHC-P |
Hu, Ms, Rt |
7.0ml |
250 € |
E4281.pdf |
|
E3714 |
Flk-1 |
1:50 |
IHC-P, WB |
Hu, Ms, Rt |
1.0ml |
445 € |
E3714.pdf |
|
E3711 |
Flk-1 |
Ready-to-use |
IHC-P |
Hu, Ms, Rt |
7.0ml |
237 € |
E3711.pdf |
|
E2804 |
Flt-1 |
1:100 |
IHC-P, WB |
Hu, Ms, Rt |
1.0ml |
510 € |
E2804.pdf |
|
E2801 |
Flt-1 |
Ready-to-use |
IHC-P |
Hu, Ms, Rt |
7.0ml |
211 € |
E2801.pdf |
|
E3874 |
Flt-4 |
1:100 |
IHC-P, WB, IP |
Hu, Ms, Rt |
1.0ml |
445 € |
E3874.pdf |
|
E3871 |
Flt-4 |
Ready-to-use |
IHC-P |
Hu, Ms, Rt |
7.0ml |
211 € |
E3871.pdf |
|
E17824 |
FOXO1A |
1:100 |
IHC-P, WB |
Hu |
1ml |
510 € |
E17824.pdf |
|
E17821 |
FOXO1A |
Ready-to-use |
IHC-P |
Hu |
7ml |
302 € |
E17821.pdf |
|
E17734 |
FOXO3A |
1:50 |
IHC-P |
Hu |
1ml |
510 € |
E17734.pdf |
|
E17731 |
FOXO3A |
Ready-to-use |
IHC-P |
Hu |
7ml |
302 € |
E17731.pdf |
|
E17434 |
FoxP3 |
na |
WB |
Hu |
200µg |
510 € |
E17434.pdf |
|
E16394 |
FOXP4 |
1:50 |
IHC-P |
Hu |
1.0ml |
510 € |
E16394.pdf |
|
E16391 |
FOXP4 |
Ready-to-use |
IHC-P |
Hu |
7.0ml |
302 € |
E16391.pdf |
|
E4214 |
Fra 2 |
1:50 (30') |
IHC-P, WB |
Hu, Ms, Rt |
1.0ml |
445 € |
E4214.pdf |
|
E4211 |
Fra 2 |
Ready-to-use |
IHC-P |
Hu, Ms, Rt |
7.0ml |
211 € |
E4211.pdf |
|
E3134 |
FSH |
1:500 |
IHC-P |
Hu |
1.0ml |
302 € |
E3134.pdf |
|
E3131 |
FSH |
Ready-to-use |
IHC-P |
Hu |
7.0ml |
172 € |
E3131.pdf |
|
E5714 |
Fyn |
1:50 |
IHC-P |
Hu,Ms,Rt |
1.0ml |
536 € |
E5714.pdf |
|
E5711 |
Fyn |
Ready-to-use |
IHC-P |
Hu,Ms,Rt |
7.0ml |
302 € |
E5711.pdf |
|
E11024 |
G.D.N.F. |
1:100 |
IHC-P |
Hu, Ms, Rt |
1.0ml |
497 € |
E11024.pdf |
|
E11021 |
G.D.N.F. |
Ready-to-use |
IHC-P |
Hu, Ms, Rt |
7.0ml |
289 € |
E11021.pdf |
|
E3624 |
Gab-1 |
1:50 |
IHC-P, WB, IP |
Hu, Ms, Rt |
1.0ml |
445 € |
E3624.pdf |
|
E3621 |
Gab-1 |
Ready-to-use |
IHC-P |
Hu, Ms, Rt |
7.0ml |
237 € |
E3621.pdf |
|
E2884 |
GABA a Receptor 1 |
1:50 |
IHC-P, WB, IP |
Hu, Ms, Rt |
1.0ml |
510 € |
E2884.pdf |
|
E2881 |
GABA a Receptor 1 |
Ready-to-use |
IHC-P |
Hu, Ms, Rt |
7.0ml |
250 € |
E2881.pdf |
|
E3314 |
GAD65 |
1:50 |
IHC-P |
Hu, Rt |
1.0ml |
445 € |
E3314.pdf |
|
E3311 |
GAD65 |
Ready-to-use |
IHC-P |
Hu, Rt |
7.0ml |
237 € |
E3311.pdf |
|
E10264 |
GAD67 |
1:100 |
IHC-P |
Hu, Ms, Rt |
1.0ml |
510 € |
E10264.pdf |
|
E10261 |
GAD67 |
Ready-to-use |
IHC-P |
Hu, Ms, Rt |
7.0ml |
289 € |
E10261.pdf |
|
E10984 |
GADD153 |
1:50 |
IHC-P, WB |
Hu |
1.0ml |
510 € |
E10984.pdf |
|
E10981 |
GADD153 |
Ready-to-use |
IHC-P |
Hu |
7.0ml |
289 € |
E10981.pdf |
|
E10374 |
Galectin-3 |
1:30 |
IHC-P |
Hu |
1.0ml |
510 € |
E10374.pdf |
|
E10371 |
Galectin-3 |
Ready-to-use |
IHC-P |
Hu |
7.0ml |
289 € |
E10371.pdf |
|
E14084 |
GANP |
1:100 |
IHC-P |
Hu |
1.0ml |
510 € |
E14084.pdf |
|
E14081 |
GANP |
Ready-to-use |
IHC-P |
Hu |
7.0ml |
289 € |
E14081.pdf |
|
E1674 |
Gastrin |
1:100 |
IHC-P |
Hu, Rt |
1.0ml |
588 € |
E1674.pdf |
|
E1671 |
Gastrin |
Ready-to-use |
IHC-P |
Hu, Rt |
7.0ml |
328 € |
E1671.pdf |
|
E4494 |
Gastrin 1 |
1:200 |
IHC-P |
Hu |
1.0ml |
419 € |
E4494.pdf |
|
E4491 |
Gastrin 1 |
Ready-to-use |
IHC-P |
Hu |
7.0ml |
237 € |
E4491.pdf |
|
E10314 |
GCDFP-15 |
1:25 |
IHC-P, WB |
Hu |
1.0ml |
510 € |
E10314.pdf |
|
E10311 |
GCDFP-15 |
Ready-to-use |
IHC-P |
Hu |
7.0ml |
289 € |
E10311.pdf |
|
E1684 |
GCDGP-15 |
1:20 (30') |
IHC-P |
Hu, Rt |
1.0ml |
679 € |
E1684.pdf |
|
E1681 |
GCDGP-15 |
Ready-to-use (30') |
IHC-P |
Hu, Rt |
7.0ml |
354 € |
E1681.pdf |
|
E16744 |
GCS |
1:100 |
IHC-P |
Hu |
1.0ml |
510 € |
E16744.pdf |
|
E16741 |
GCS |
Ready-to-use |
IHC-P |
Hu |
7.0ml |
302 € |
E16741.pdf |
|
E5724 |
GFAP |
1:50 |
IHC-P,WB,IP,IF |
Hu,Rt,Pi,Ca |
1.0ml |
367 € |
E5724.pdf |
|
E5721 |
GFAP |
Ready-to-use |
IHC-P |
Hu,Rt,Pi,Ca |
7.0ml |
302 € |
E5721.pdf |
|
E16514 |
GFAP (Glial Fibrillary Acidic Protein) |
1:100 |
IHC-P |
Hu |
1.0ml |
510 € |
E16514.pdf |
|
E16511 |
GFAP (Glial Fibrillary Acidic Protein) |
Ready-to-use |
IHC-P |
Hu |
7.0ml |
302 € |
E16511.pdf |
|
E11124 |
Glucagon |
1:50 |
IHC-P |
Hu |
200ug |
445 € |
E11124.pdf |
|
E6944 |
Glucagon |
1:50 |
IHC-P |
Hu, Ms, Rt |
1.0ml |
510 € |
E6944.pdf |
|
E11124 |
Glucagon |
1:50 |
IHC-P |
Hu |
1ml |
445 € |
E11124.pdf |
|
E6941 |
Glucagon |
Ready-to-use |
IHC-P |
Hu, Ms, Rt |
7.0ml |
289 € |
E6941.pdf |
|
E11121 |
Glucagon |
Ready-to-use |
IHC-P |
Hu |
7.0ml |
289 € |
E11121.pdf |
|
E5734 |
Glucose-Regulated Protein 94 |
1:50 |
IHC-P,WB,IP |
Hu,Ms,Rt,Mo,Pi,Do |
1.0ml |
536 € |
E5734.pdf |
|
E5731 |
Glucose-Regulated Protein 94 |
Ready-to-use |
IHC-P |
Hu,Ms,Rt,Mo,Pi,Do |
7.0ml |
302 € |
E5731.pdf |
|
E3004 |
GluR 2/3 |
1:50 |
IHC-P, WB, IP |
Hu, Ms, Rt |
1.0ml |
510 € |
E3004.pdf |
|
E3001 |
GluR 2/3 |
Ready-to-use |
IHC-P |
Hu, Ms, Rt |
7.0ml |
250 € |
E3001.pdf |
|
E3064 |
GluR1 |
1:50 |
IHC-P, WB |
Hu, Ms, Rt |
1.0ml |
445 € |
E3064.pdf |
|
E3061 |
GluR1 |
Ready-to-use |
IHC-P |
Hu, Ms, Rt |
7.0ml |
211 € |
E3061.pdf |
|
E2904 |
GluR4 |
1:50 |
IHC-P, WB, IP |
Hu, Ms, Rt |
1.0ml |
510 € |
E2904.pdf |
|
E2901 |
GluR4 |
Ready-to-use |
IHC-P |
Hu, Ms, Rt |
7.0ml |
250 € |
E2901.pdf |
|
E2934 |
GluR6/7 |
1:100 |
IHC-P, WB, IP |
Hu, Ms, Rt |
1.0ml |
497 € |
E2934.pdf |
|
E2931 |
GluR6/7 |
Ready-to-use |
IHC-P |
Hu, Ms, Rt |
7.0ml |
224 € |
E2931.pdf |
|
E2844 |
GLUT-1 |
1:200 |
IHC-P, WB, IF |
Hu, Rt |
1.0ml |
510 € |
E2844.pdf |
|
E13814 |
GLUT-1 |
1:200 |
IHC-P |
Hu, Rt |
1.0ml |
510 € |
E13814.pdf |
|
E13811 |
GLUT-1 |
Ready-to-use |
IHC-P |
Hu, Rt |
7.0ml |
289 € |
E13811.pdf |
|
E2841 |
GLUT-1 |
Ready-to-use |
IHC-P |
Hu, Rt |
7.0ml |
211 € |
E2841.pdf |
|
E3274 |
GLUT-3 |
1:50 |
IHC-P, WB, EL |
Hu |
1.0ml |
445 € |
E3274.pdf |
|
E3271 |
GLUT-3 |
Ready-to-use |
IHC-P |
Hu |
7.0ml |
211 € |
E3271.pdf |
|
E5744 |
Granulocyte |
1:50 |
IHC-P,IF |
Hu |
1.0ml |
328 € |
E5744.pdf |
|
E5741 |
Granulocyte |
Ready-to-use |
IHC-P |
Hu |
7.0ml |
302 € |
E5741.pdf |
|
E2584 |
Granzyme B |
1:100 |
IHC-P |
Hu, Ms, Rt |
1.0ml |
497 € |
E2584.pdf |
|
E2581 |
Granzyme B |
Ready-to-use |
IHC-P |
Hu, Ms, Rt |
7.0ml |
263 € |
E2581.pdf |
|
E5064 |
Grb2 |
1:50 |
IHC-P,IF |
Hu,Ms,Rt |
1.0ml |
614 € |
E5064.pdf |
|
E5061 |
Grb2 |
Ready-to-use |
IHC-P |
Hu,Ms,Rt |
7.0ml |
302 € |
E5061.pdf |
|
E12494 |
GRP75 |
1:100 |
IHC-P, WB |
Hu, Ms, Rt |
1.0ml |
510 € |
E12494.pdf |
|
E12491 |
GRP75 |
Ready-to-use |
IHC-P |
Hu, Ms, Rt |
7.0ml |
289 € |
E12491.pdf |
|
E12574 |
GRP78 |
1:100 |
IHC-P, wB |
Hu, Ms, Rt |
1.0ml |
510 € |
E12574.pdf |
|
E12571 |
GRP78 |
Ready-to-use |
IHC-P |
Hu, Ms, Rt |
7.0ml |
289 € |
E12571.pdf |
|
E13864 |
GRP94 |
1:100 |
IHC-P |
Hu |
1.0ml |
510 € |
E13864.pdf |
|
E13861 |
GRP94 |
Ready-to-use |
IHC-P |
Hu |
7.0ml |
289 € |
E13861.pdf |
|
E2914 |
GSK-3 |
1:100 |
IHC-P, WB |
Hu, Ms, Rt |
1.0ml |
510 € |
E2914.pdf |
|
E2911 |
GSK-3 |
Ready-to-use |
IHC-P |
Hu, Ms, Rt |
7.0ml |
211 € |
E2911.pdf |
|
E10274 |
Guanylyl Cyclase beta |
1:100 |
IHC-P |
Hu, Ms, Rt |
1.0ml |
523 € |
E10274.pdf |
|
E10271 |
Guanylyl Cyclase beta |
Ready-to-use |
IHC-P |
Hu, Ms, Rt |
7.0ml |
289 € |
E10271.pdf |
|
E3014 |
H. Pylori |
1:500 |
IHC-P |
Hu |
1.0ml |
510 € |
E3014.pdf |
|
E3011 |
H. Pylori |
Ready-to-use |
IHC-P |
Hu |
7.0ml |
250 € |
E3011.pdf |
|
E3114 |
hCG beta |
1:50 |
IHC-P |
Hu |
1.0ml |
302 € |
E3114.pdf |
|
E3111 |
hCG beta |
Ready-to-use |
IHC-P |
Hu |
7.0ml |
172 € |
E3111.pdf |
|
E3554 |
HDAC1 |
1:200 |
IHC-P, WB, IP |
Hu, Ms, Rt |
1.0ml |
445 € |
E3554.pdf |
|
E3551 |
HDAC1 |
Ready-to-use |
IHC-P |
Hu, Ms, Rt |
7.0ml |
211 € |
E3551.pdf |
|
E10644 |
HDAC2 |
1:50 |
IHC-P, WB |
Hu, Ms, Rt |
1.0ml |
614 € |
E10644.pdf |
|
E10641 |
HDAC2 |
Ready-to-use |
IHC-P |
Hu, Ms, Rt |
7.0ml |
289 € |
E10641.pdf |
|
E5754 |
HDJ-2 / DNAJ |
1:50 |
IHC-P,WB,IP,IF.FC |
Hu,Ms,Rt,Mo |
1.0ml |
614 € |
E5754.pdf |
|
E5751 |
HDJ-2 / DNAJ |
Ready-to-use |
IHC-P |
Hu,Ms,Rt,Mo |
7.0ml |
302 € |
E5751.pdf |
|
E5764 |
Heat Shock Protein 27 / hsp27 |
1:50 |
WB,IHC-P |
Hu,Ch,Mo,Do |
1.0ml |
536 € |
E5764.pdf |
|
E5761 |
Heat Shock Protein 27 / hsp27 |
Ready-to-use |
IHC-P |
Hu,Ch,Mo,Do |
7.0ml |
302 € |
E5761.pdf |
|
E5774 |
Heat Shock Protein 60 / hsp60 |
1:50 |
WB,IP,IHC-P,IF |
Hu,Ms,Rt,Co |
1.0ml |
614 € |
E5774.pdf |
|
E5771 |
Heat Shock Protein 60 / hsp60 |
Ready-to-use |
IHC-P |
Hu,Ms,Rt,Co |
7.0ml |
302 € |
E5771.pdf |
|
E6954 |
Heat Shock Protein 70 / HSP70 |
Ready-to-use |
IHC-P |
Hu, Ms, Rt |
7.0ml |
523 € |
E6954.pdf |
|
E5781 |
Heat Shock Protein 70 / HSP70 |
Ready-to-use |
IHC-P |
Hu,Mo,Co |
7.0ml |
302 € |
E5781.pdf |
|
E6954 |
Heat Shock Protein 70 /HSP70 |
1:100 |
IHC-P, WB, IP |
Hu, Ms, Rt |
1.0ml |
523 € |
E6954.pdf |
|
E5784 |
Heat Shock Protein 70/ HSP70 |
1:50 |
WB,IP,IHC-P,IF.FC |
Hu,Mo,Co |
1.0ml |
627 € |
E5784.pdf |
|
E5794 |
Heat Shock Protein 90a / HSP86 |
1:50 |
WB,IP,IHC-P,IF |
Hu,Ms,Rt |
1.0ml |
549 € |
E5794.pdf |
|
E5791 |
Heat Shock Protein 90a / HSP86 |
Ready-to-use |
IHC-P |
Hu,Ms,Rt |
7.0ml |
302 € |
E5791.pdf |
|
E5804 |
Heat Shock Protein 90b / HSP84 |
1:50 |
IHC-P,WB,IP,IF |
Hu,Ms,Rt |
1.0ml |
549 € |
E5804.pdf |
|
E5801 |
Heat Shock Protein 90b / HSP84 |
Ready-to-use |
IHC-P |
Hu,Ms,Rt |
7.0ml |
302 € |
E5801.pdf |
|
E5814 |
Heparan Sulfate Proteoglycan |
1:50 |
IHC-P,IF |
Hu,Ms,Co |
1.0ml |
562 € |
E5814.pdf |
|
E5811 |
Heparan Sulfate Proteoglycan |
Ready-to-use |
IHC-P |
Hu,Ms,Co |
7.0ml |
302 € |
E5811.pdf |
|
E1704 |
Hepatitis B virus core antigen |
1:100 |
IHC-P |
Hu |
1.0ml |
237 € |
E1704.pdf |
|
E1701 |
Hepatitis B virus core antigen |
Ready-to-use |
IHC-P |
Hu |
7.0ml |
172 € |
E1701.pdf |
|
E1714 |
Hepatitis B virus surface |
1:25 |
IHC-P |
Hu |
1.0ml |
328 € |
E1714.pdf |
|
E1711 |
Hepatitis B virus surface |
Ready-to-use |
IHC-P |
Hu |
7.0ml |
185 € |
E1711.pdf |
|
E2314 |
Heregulin |
1:100 |
IHC-P, WB |
Hu |
1.0ml |
575 € |
E2314.pdf |
|
E2311 |
Heregulin |
Ready-to-use |
IHC-P |
Hu |
7.0ml |
328 € |
E2311.pdf |
|
E3124 |
hGH |
1:200 |
IHC-P |
Hu |
1.0ml |
406 € |
E3124.pdf |
|
E17474 |
hGH |
1:200 |
IHC-P |
Hu |
1ml |
510 € |
E17474.pdf |
|
E17471 |
hGH |
Ready-to-use |
IHC-P |
Hu |
7ml |
302 € |
E17471.pdf |
|
E3121 |
hGH |
Ready-to-use |
IHC-P |
Hu |
7.0ml |
250 € |
E3121.pdf |
|
E17744 |
HIF1alpha |
1:50 |
IHC-P |
Hu |
1ml |
510 € |
E17744.pdf |
|
E17741 |
HIF1alpha |
Ready-to-use |
IHC-P |
Hu |
7ml |
302 € |
E17741.pdf |
|
E5824 |
Histone H1 |
1:50 |
IHC-P,IF |
Hu |
1.0ml |
328 € |
E5824.pdf |
|
E5821 |
Histone H1 |
Ready-to-use |
IHC-P |
Hu |
7.0ml |
302 € |
E5821.pdf |
|
E16334 |
HMGA2 |
1:50 |
IHC-P |
Hu |
1.0ml |
510 € |
E16334.pdf |
|
E16331 |
HMGA2 |
Ready-to-use |
IHC-P |
Hu |
7.0ml |
302 € |
E16331.pdf |
|
E2984 |
hPL |
1:250 |
IHC-P, WB |
Hu |
1.0ml |
237 € |
E2984.pdf |
|
E2981 |
hPL |
Ready-to-use |
IHC-P |
Hu |
7.0ml |
172 € |
E2981.pdf |
|
E12454 |
HSP60 |
1:200 |
IHC-P, WB |
Hu, Ms, Rt |
1.0ml |
510 € |
E12454.pdf |
|
E12451 |
HSP60 |
Ready-to-use |
IHC-P |
Hu, Ms, Rt |
7.0ml |
289 € |
E12451.pdf |
|
E12334 |
HSP70 |
1:100 |
IHC-P |
Hu |
1.0ml |
510 € |
E12334.pdf |
|
E12331 |
HSP70 |
Ready-to-use |
IHC-P |
Hu |
7.0ml |
289 € |
E12331.pdf |
|
E5084 |
Human Sodium Iodide Symporter (hNIS) |
1:50 |
IHC-P,WB |
Hu |
1.0ml |
653 € |
E5084.pdf |
|
E5081 |
Human Sodium Iodide Symporter (hNIS) |
Ready-to-use |
IHC-P |
Hu |
7.0ml |
302 € |
E5081.pdf |
|
E3824 |
I-Flice / FLIP |
1:100 |
IHC-P |
Hu, Ms |
1.0ml |
445 € |
E3824.pdf |
|
E3821 |
I-Flice / FLIP |
Ready-to-use |
IHC-P |
Hu, Ms |
7.0ml |
211 € |
E3821.pdf |
|
E16414 |
Id2 |
1:50 |
IHC-P |
Hu |
1.0ml |
510 € |
E16414.pdf |
|
E16411 |
Id2 |
Ready-to-use |
IHC-P |
Hu |
7.0ml |
302 € |
E16411.pdf |
|
E14054 |
Id3 |
1:50 |
IHC-P |
Hu |
1.0ml |
510 € |
E14054.pdf |
|
E14051 |
Id3 |
Ready-to-use |
IHC-P |
Hu |
7.0ml |
289 € |
E14051.pdf |
|
E1744 |
IgA |
1:100 |
IHC-P |
Hu |
1.0ml |
224 € |
E1744.pdf |
|
E5094 |
IgA |
1:50 |
IHC-P |
Hu |
1.0ml |
328 € |
E5094.pdf |
|
E5091 |
IgA |
Ready-to-use |
IHC-P |
Hu |
7.0ml |
302 € |
E5091.pdf |
|
E1741 |
IgA |
Ready-to-use |
IHC-P |
Hu |
7.0ml |
172 € |
E1741.pdf |
|
E3724 |
IGF-1 |
1:50 |
IHC-P |
Hu, Ms, Rt |
1.0ml |
445 € |
E3724.pdf |
|
E3721 |
IGF-1 |
Ready-to-use |
IHC-P |
Hu, Ms, Rt |
7.0ml |
237 € |
E3721.pdf |
|
E1754 |
IgG |
1:100 |
IHC-P |
Hu |
1.0ml |
224 € |
E1754.pdf |
|
E1751 |
IgG |
Ready-to-use |
IHC-P |
Hu |
7.0ml |
172 € |
E1751.pdf |
|
E1764 |
IgM |
1:100 |
IHC-P |
Hu |
1.0ml |
224 € |
E1764.pdf |
|
E1761 |
IgM |
Ready-to-use |
IHC-P |
Hu |
7.0ml |
172 € |
E1761.pdf |
|
E17394 |
Inhibin alpha |
1:100 |
IHC-P |
Hu |
1ml |
510 € |
E17394.pdf |
|
E6924 |
Inhibin alpha |
1:10 |
IHC-P |
Hu |
1.0ml |
640 € |
E6924.pdf |
|
E6921 |
Inhibin alpha |
Ready-to-use |
IHC-P |
Hu |
7.0ml |
289 € |
E6921.pdf |
|
E17391 |
Inhibin alpha |
Ready-to-use |
IHC-P |
Hu |
7ml |
302 € |
E17391.pdf |
|
E1774 |
Insulin |
1:100 |
IHC-P |
Hu, Rt, Pg |
1.0ml |
341 € |
E1774.pdf |
|
E1771 |
Insulin |
Ready-to-use |
IHC-P |
Hu, Rt, Pg |
7.0ml |
198 € |
E1771.pdf |
|
E5844 |
Insulin Receptor |
1:50 |
IHC-P,FC,KA |
Hu,Co,Pi,Rb |
1.0ml |
627 € |
E5844.pdf |
|
E5841 |
Insulin Receptor |
Ready-to-use |
IHC-P |
Hu,Co,Pi,Rb |
7.0ml |
302 € |
E5841.pdf |
|
E2864 |
Integrin beta 5 |
1:50 |
IHC-P, WB, IP |
Hu, Ms, Rt |
1.0ml |
510 € |
E2864.pdf |
|
E2861 |
Integrin beta 5 |
Ready-to-use |
IHC-P |
Hu, Ms, Rt |
7.0ml |
276 € |
E2861.pdf |
|
E10634 |
Involucrin |
1:100 |
IHC-P, WB |
Hu |
1.0ml |
510 € |
E10634.pdf |
|
E5854 |
Involucrin |
1:50 |
IHC-P,WB,IP,IF |
Hu,Rt.Pi,Do |
1.0ml |
432 € |
E5854.pdf |
|
E5851 |
Involucrin |
Ready-to-use |
IHC-P |
Hu,Rt.Pi,Do |
7.0ml |
302 € |
E5851.pdf |
|
E10631 |
Involucrin |
Ready-to-use |
IHC-P |
Hu |
7.0ml |
289 € |
E10631.pdf |
|
E14574 |
IPO-38 (Proliferation Marker) |
|
IHC-P |
Hu, Ms, Rt |
1ml |
393 € |
E14574.pdf |
|
E16584 |
IPO-38 (Proliferation Marker) |
1:100 |
IHC-P |
Hu |
1.0ml |
510 € |
E16584.pdf |
|
E16851 |
IPO-38 (Proliferation Marker) |
Ready-to-use |
IHC-P |
Hu |
7.0ml |
302 € |
E16851.pdf |
|
E16581 |
IPO-38 (proliferation marker) |
Ready-to-use |
IHC-P |
Hu |
7ml |
302 € |
E16581.pdf |
|
E14571 |
IPO-38 (Proliferation Marker) |
Ready-to-use |
IHC-P |
Hu, Ms, Rt |
7ml |
302 € |
E14571.pdf |
|
E12594 |
IRS-1 |
1:50 |
IHC-P |
Hu |
1.0ml |
510 € |
E12594.pdf |
|
E17444 |
IRS-1 |
na |
WB |
Hu |
200µg |
510 € |
E17444.pdf |
|
E12591 |
IRS-1 |
Ready-to-use |
IHC-P |
Hu |
7.0ml |
289 € |
E12591.pdf |
|
E10284 |
JAB1 |
1:200 |
IHC-P, WB |
Hu, Ms, Rt |
1.0ml |
510 € |
E10284.pdf |
|
E10281 |
JAB1 |
Ready-to-use |
IHC-P |
Hu, Ms, Rt |
7.0ml |
289 € |
E10281.pdf |
|
E5114 |
JAK-3 |
1:50 |
IHC-P,WB,IP |
Hu,Ms |
1.0ml |
575 € |
E5114.pdf |
|
E5111 |
JAK-3 |
Ready-to-use |
IHC-P |
Hu,Ms |
7.0ml |
302 € |
E5111.pdf |
|
E14004 |
JM4 |
1:100 |
IHC-P |
Hu |
1.0ml |
575 € |
E14004.pdf |
|
E14001 |
JM4 |
Ready-to-use |
IHC-P |
Hu |
7.0ml |
289 € |
E14001.pdf |
|
E1784 |
Kappa Light Chain |
1:100 |
IHC-P |
Hu |
1.0ml |
302 € |
E1784.pdf |
|
E1781 |
Kappa Light Chain |
Ready-to-use |
IHC-P |
Hu |
7.0ml |
172 € |
E1781.pdf |
|
E16524 |
Kappa Light Chain (B-Cell Marker) |
1:200 |
IHC-P |
Hu |
1.0ml |
510 € |
E16524.pdf |
|
E16521 |
Kappa Light Chain (B-Cell Marker) |
Ready-to-use |
IHC-P |
Hu |
7.0ml |
302 € |
E16521.pdf |
|
E2624 |
Keratin 14 |
1:200 |
IHC-P, WB |
Hu |
1.0ml |
367 € |
E2624.pdf |
|
E5894 |
Keratin 14 |
1:50 |
IHC-P,WB |
Hu |
1.0ml |
380 € |
E5894.pdf |
|
E5891 |
Keratin 14 |
Ready-to-use |
IHC-P |
Hu |
7.0ml |
302 € |
E5891.pdf |
|
E2621 |
Keratin 14 |
Ready-to-use |
IHC-P |
Hu |
7.0ml |
172 € |
E2621.pdf |
|
E5124 |
Keratin 15 |
1:50 |
IHC-P,IF |
Hu,Ms,Rt,Co |
1.0ml |
380 € |
E5124.pdf |
|
E5121 |
Keratin 15 |
Ready-to-use |
IHC-P |
Hu,Ms,Rt,Co |
7.0ml |
302 € |
E5121.pdf |
|
E5904 |
Keratin 16 |
1:50 |
IHC-P,IF |
Hu |
1.0ml |
328 € |
E5904.pdf |
|
E5901 |
Keratin 16 |
Ready-to-use |
IHC-P |
Hu |
7.0ml |
302 € |
E5901.pdf |
|
E16544 |
Keratin 18 |
1:100 |
IHC-P |
Hu |
1.0ml |
510 € |
E16544.pdf |
|
E17014 |
Keratin 18 |
1:100 |
IHC-P |
Hu |
1ml |
510 € |
E17014.pdf |
|
E5914 |
Keratin 18 |
1:50 |
IHC-P,WB,IF |
Hu |
1.0ml |
289 € |
E5914.pdf |
|
E5911 |
Keratin 18 |
Ready-to-use |
IHC-P |
Hu |
7.0ml |
302 € |
E5911.pdf |
|
E16541 |
Keratin 18 |
Ready-to-use |
IHC-P |
Hu |
7.0ml |
302 € |
E16541.pdf |
|
E17011 |
Keratin 18 |
Ready-to-use |
IHC-P |
Hu |
7ml |
302 € |
E17011.pdf |
|
E2634 |
Keratin 19 |
1:100 |
IHC-P, IF |
Hu |
1.0ml |
302 € |
E2634.pdf |
|
E5924 |
Keratin 19 |
1:50 |
IHC-P,WB,IF |
Hu |
1.0ml |
328 € |
E5924.pdf |
|
E5921 |
Keratin 19 |
Ready-to-use |
IHC-P |
Hu |
7.0ml |
302 € |
E5921.pdf |
|
E2631 |
Keratin 19 |
Ready-to-use |
IHC-P |
Hu |
7.0ml |
172 € |
E2631.pdf |
|
E16444 |
Keratin 20 |
1:200 |
IHC-P |
Hu |
1.0ml |
510 € |
E16444.pdf |
|
E1844 |
Keratin 20 |
1:50 |
IHC-P, WB |
Hu, Ms |
1.0ml |
536 € |
E1844.pdf |
|
E5134 |
Keratin 20 |
1:50 |
IHC-P,WB |
Hu |
1.0ml |
536 € |
E5134.pdf |
|
E5131 |
Keratin 20 |
Ready-to-use |
IHC-P |
Hu |
7.0ml |
302 € |
E5131.pdf |
|
E1841 |
Keratin 20 |
Ready-to-use |
IHC-P |
Hu, Ms |
7.0ml |
237 € |
E1841.pdf |
|
E16441 |
Keratin 20 |
Ready-to-use |
IHC-P |
Hu |
7ml |
302 € |
E16441.pdf |
|
E13824 |
Keratin 5 |
1:100 |
IHC-P |
Hu, Ms |
1.0ml |
510 € |
E13824.pdf |
|
E13821 |
Keratin 5 |
Ready-to-use |
IHC-P |
Hu, Ms |
7.0ml |
289 € |
E13821.pdf |
|
E17154 |
Keratin 5 / 6 |
1:50 |
IHC-P |
Hu |
1.0ml |
718 € |
E17154.pdf |
|
E17151 |
Keratin 5 / 6 |
Ready-to-use |
IHC-P |
Hu |
7.0ml |
302 € |
E17151.pdf |
|
E5954 |
Keratin 6 |
1:50 |
IHC-P |
Hu,Ms |
1.0ml |
328 € |
E5954.pdf |
|
E5951 |
Keratin 6 |
Ready-to-use |
IHC-P |
Hu,Ms |
7.0ml |
302 € |
E5951.pdf |
|
E12354 |
Keratin 7 |
1:100 |
IHC-P |
Hu |
1.0ml |
510 € |
E12354.pdf |
|
E12351 |
Keratin 7 |
Ready-to-use |
IHC-P |
Hu |
7.0ml |
289 € |
E12351.pdf |
|
E5144 |
Keratin 8 |
1:100 |
IHC-P,IP |
Hu |
1.0ml |
393 € |
E5144.pdf |
|
E3264 |
Keratin 8 |
1:100 |
IHC-P, WB |
Hu |
1.0ml |
302 € |
E3264.pdf |
|
E3261 |
Keratin 8 |
Ready-to-use |
IHC-P |
Hu |
7.0ml |
172 € |
E3261.pdf |
|
E5141 |
Keratin 8 |
Ready-to-use |
IHC-P |
Hu |
7.0ml |
302 € |
E5141.pdf |
|
E1864 |
Keratin 8 / 18 |
1:40 |
IHC-P |
Hu |
1.0ml |
393 € |
E1864.pdf |
|
E1861 |
Keratin 8 / 18 |
Ready-to-use |
IHC-P |
Hu |
7.0ml |
198 € |
E1861.pdf |
|
E3224 |
Keratin, HMW |
1:100 |
IHC-P, IF |
Hu, Ms, Rt |
1.0ml |
315 € |
E3224.pdf |
|
E3221 |
Keratin, HMW |
Ready-to-use |
IHC-P |
Hu, Ms, Rt |
7.0ml |
185 € |
E3221.pdf |
|
E3214 |
Keratin, LMW |
1:100 |
IHC-P, IF |
Hu, Ms, Rt |
1.0ml |
315 € |
E3214.pdf |
|
E3211 |
Keratin, LMW |
Ready-to-use |
IHC-P |
Hu, Ms, Rt |
7.0ml |
185 € |
E3211.pdf |
|
E1874 |
Ki-67 |
1:300 |
IHC-P, WB |
Hu, Rt |
1.0ml |
445 € |
E1874.pdf |
|
E1871 |
Ki-67 |
Ready-to-use |
IHC-P |
Hu, Rt |
7.0ml |
302 € |
E1871.pdf |
|
E5994 |
Ku (p70) |
1:50 |
IHC-P,WB,IP,IF |
Hu,Mo |
1.0ml |
536 € |
E5994.pdf |
|
E5991 |
Ku (p70) |
Ready-to-use |
IHC-P |
Hu,Mo |
7.0ml |
302 € |
E5991.pdf |
|
E6004 |
Ku (p70/p80) |
1:50 |
IHC-P,IP,IF,GSA |
Hu,Ms,Rt,Mo |
1.0ml |
536 € |
E6004.pdf |
|
E6001 |
Ku (p70/p80) |
Ready-to-use |
IHC-P |
Hu,Ms,Rt,Mo |
7.0ml |
302 € |
E6001.pdf |
|
E6014 |
L1 Cell Adhesion Molecule |
1:50 |
IHC-P,WB,IP |
Hu |
1.0ml |
562 € |
E6014.pdf |
|
E6011 |
L1 Cell Adhesion Molecule |
Ready-to-use |
IHC-P |
Hu |
7.0ml |
302 € |
E6011.pdf |
|
E1884 |
Lambda Light Chain |
1:100 |
IHC-P |
Hu |
1.0ml |
289 € |
E1884.pdf |
|
E1881 |
Lambda Light Chain |
Ready-to-use |
IHC-P |
Hu |
7.0ml |
172 € |
E1881.pdf |
|
E13494 |
Lamin B |
1:25 |
IHC-P, WB |
Hu |
1ml |
510 € |
E13494.pdf |
|
E13491 |
Lamin B |
Ready-to-use |
IHC-P |
Hu |
7ml |
289 € |
E13491.pdf |
|
E6024 |
Laminin B1 / b1 |
1:50 |
IHC-P,WB,IP,IF |
Hu,Ms,Pi,Ha |
1.0ml |
536 € |
E6024.pdf |
|
E6021 |
Laminin B1 / b1 |
Ready-to-use |
IHC-P |
Hu,Ms,Pi,Ha |
7.0ml |
302 € |
E6021.pdf |
|
E5154 |
Laminin B2 / g1 |
1:50 |
IHC-P |
Hu,Rt,Gp |
1.0ml |
536 € |
E5154.pdf |
|
E6034 |
Laminin B2 / g1 |
1:50 |
IHC-P,WB,IP,IF |
Hu,Ms |
1.0ml |
536 € |
E6034.pdf |
|
E6031 |
Laminin B2 / g1 |
Ready-to-use |
IHC-P |
Hu,Ms |
7.0ml |
302 € |
E6031.pdf |
|
E5151 |
Laminin B2 / g1 |
Ready-to-use |
IHC-P |
Hu,Rt,Gp |
7.0ml |
302 € |
E5151.pdf |
|
E6044 |
Laminin Receptor |
1:25 |
IHC-P,IF,FC |
Hu |
1.0ml |
627 € |
E6044.pdf |
|
E6041 |
Laminin Receptor |
Ready-to-use |
IHC-P |
Hu |
7.0ml |
302 € |
E6041.pdf |
|
E17384 |
Lewis A |
1:200 |
IHC-P |
Hu |
1ml |
510 € |
E17384.pdf |
|
E17381 |
Lewis A |
Ready-to-use |
IHC-P |
Hu |
7ml |
302 € |
E17381.pdf |
|
E6051 |
LewisA |
Ready-to-use |
IHC-P |
Hu |
7.0ml |
302 € |
E6051.pdf |
|
E5164 |
LewisB |
1:50 |
IHC-P |
Hu |
1.0ml |
419 € |
E5164.pdf |
|
E5161 |
LewisB |
Ready-to-use |
IHC-P |
Hu |
7.0ml |
302 € |
E5161.pdf |
|
E3094 |
LH |
1:500 |
IHC-P |
Hu |
1.0ml |
302 € |
E3094.pdf |
|
E17484 |
LH |
1:500 |
IHC-P |
Hu |
1ml |
510 € |
E17484.pdf |
|
E17481 |
LH |
Ready-to-use |
IHC-P |
Hu |
7ml |
302 € |
E17481.pdf |
|
E3091 |
LH |
Ready-to-use |
IHC-P |
Hu |
7.0ml |
172 € |
E3091.pdf |
|
E17654 |
LMO2 |
1:100 |
IHC-P |
Hu |
1ml |
510 € |
E17654.pdf |
|
E17834 |
LMO2 |
1:100 |
IHC-P |
Hu |
1ml |
510 € |
E17834.pdf |
|
E17831 |
LMO2 |
Ready-to-use |
IHC-P |
Hu |
7ml |
302 € |
E17831.pdf |
|
E17651 |
LMO2 |
Ready-to-use |
IHC-P |
Hu |
7ml |
302 € |
E17651.pdf |
|
E6064 |
LRP / MVP |
1:50 |
IHC-P,WB,IP,FC,GSA |
Hu,Rt |
1.0ml |
653 € |
E6064.pdf |
|
E6061 |
LRP / MVP |
Ready-to-use |
IHC-P |
Hu,Rt |
7.0ml |
302 € |
E6061.pdf |
|
E6074 |
Macrophage |
1:50 |
IHC-P |
Hu,Ms,Rt,Pi |
1.0ml |
380 € |
E6074.pdf |
|
E6071 |
Macrophage |
Ready-to-use |
IHC-P |
Hu,Ms,Rt,Pi |
7.0ml |
302 € |
E6071.pdf |
|
E4504 |
MAGE-1 |
1:200 |
IHC-P |
Hu |
1.0ml |
497 € |
E4504.pdf |
|
E6084 |
MAGE-1 |
1:25 |
IHC-P,WB,IF |
Hu,Rt,Do |
1.0ml |
666 € |
E6084.pdf |
|
E6081 |
MAGE-1 |
Ready-to-use |
IHC-P |
Hu,Rt,Do |
7.0ml |
302 € |
E6081.pdf |
|
E4501 |
MAGE-1 |
Ready-to-use |
IHC-P |
Hu |
7.0ml |
237 € |
E4501.pdf |
|
E10824 |
Mammaglobin |
1:100 |
IHC-P |
Hu |
1.0ml |
510 € |
E10824.pdf |
|
E16704 |
Mammaglobin |
1:25 |
IHC-P |
Hu |
1.0ml |
510 € |
E16704.pdf |
|
E16404 |
Mammaglobin |
1:50 |
IHC-P |
Hu |
1.0ml |
510 € |
E16404.pdf |
|
E16401 |
Mammaglobin |
Ready-to-use |
IHC-P |
Hu |
7.0ml |
302 € |
E16401.pdf |
|
E16701 |
Mammaglobin |
Ready-to-use |
IHC-P |
Hu |
7.0ml |
302 € |
E16701.pdf |
|
E10821 |
Mammaglobin |
Ready-to-use |
IHC-P |
Hu |
7.0ml |
289 € |
E10821.pdf |
|
E6094 |
MAP1B |
1:50 |
IHC-P,IF |
Hu,Rt,Co |
1.0ml |
523 € |
E6094.pdf |
|
E6091 |
MAP1B |
Ready-to-use |
IHC-P |
Hu,Rt,Co |
7.0ml |
302 € |
E6091.pdf |
|
E6104 |
MAP2a,b |
1:50 |
IHC-P,WB,IF |
Hu,Ms,Rt,Co |
1.0ml |
523 € |
E6104.pdf |
|
E6101 |
MAP2a,b |
Ready-to-use |
IHC-P |
Hu,Ms,Rt,Co |
7.0ml |
302 € |
E6101.pdf |
|
E6114 |
MAP2a,b,c |
1:50 |
IHC-P,WB,IF |
Hu,Rt,Co |
1.0ml |
523 € |
E6114.pdf |
|
E6111 |
MAP2a,b,c |
Ready-to-use |
IHC-P |
Hu,Rt,Co |
7.0ml |
302 € |
E6111.pdf |
|
E2834 |
MART-1 |
1:100 |
IHC-P |
Hu |
1.0ml |
445 € |
E2834.pdf |
|
E2831 |
MART-1 |
Ready-to-use |
IHC-P |
Hu |
7.0ml |
198 € |
E2831.pdf |
|
E6704 |
MART-1 / Melan-A |
1:50 |
IHC-P,WB,IP,FC |
Hu,Hs |
1ml |
536 € |
E6704.pdf |
|
E6701 |
MART-1 / Melan-A |
Ready-to-use |
IHC-P |
Hu,Hs |
7ml |
302 € |
E6701.pdf |
|
E5174 |
Mast Cell Chymase |
1:800 |
IHC-P,WB |
Hu |
1.0ml |
536 € |
E5174.pdf |
|
E5171 |
Mast Cell Chymase |
Ready-to-use |
IHC-P |
Hu |
7.0ml |
302 € |
E5171.pdf |
|
E2644 |
Mcl-1 |
1:100 |
IHC-P |
Hu |
1.0ml |
484 € |
E2644.pdf |
|
E6714 |
Mcl-1 |
1:50 |
IHC-P,WB,IP |
Hu |
1ml |
536 € |
E6714.pdf |
|
E6711 |
Mcl-1 |
Ready-to-use |
IHC-P |
Hu |
7ml |
302 € |
E6711.pdf |
|
E2641 |
Mcl-1 |
Ready-to-use |
IHC-P |
Hu |
7.0ml |
198 € |
E2641.pdf |
|
E12484 |
MCM2 |
1:100 |
IHC-P, WB |
Hu, Ms, Rt |
1.0ml |
484 € |
E12484.pdf |
|
E5184 |
MCM2 |
1:50 |
IHC-P,WB |
Hu |
1.0ml |
627 € |
E5184.pdf |
|
E5181 |
MCM2 |
Ready-to-use |
IHC-P |
Hu |
7.0ml |
302 € |
E5181.pdf |
|
E12481 |
MCM2 |
Ready-to-use |
IHC-P |
Hu, Ms, Rt |
7.0ml |
289 € |
E12481.pdf |
|
E13834 |
MCM5 |
1:100 |
IHC-P |
Hu |
1.0ml |
510 € |
E13834.pdf |
|
E13831 |
MCM5 |
Ready-to-use |
IHC-P |
Hu |
7.0ml |
289 € |
E13831.pdf |
|
E3504 |
MDM2 |
1:50 |
IHC-P |
Hu, Ms, Rt |
1.0ml |
380 € |
E3504.pdf |
|
E3501 |
MDM2 |
Ready-to-use |
IHC-P |
Hu, Ms, Rt |
7.0ml |
250 € |
E3501.pdf |
|
E12394 |
MEF2 |
1:50 |
IHC-P |
Hu |
1.0ml |
510 € |
E12394.pdf |
|
E12391 |
MEF2 |
Ready-to-use |
IHC-P |
Hu |
7.0ml |
289 € |
E12391.pdf |
|
E1904 |
Melanoma / gp100 |
1:40 |
IHC-P, WB |
Hu |
1.0ml |
536 € |
E1904.pdf |
|
E4454 |
Melanoma / gp100 |
1:50 |
IHC-P |
Hu |
1.0ml |
497 € |
E4454.pdf |
|
E4451 |
Melanoma / gp100 |
Ready-to-use |
IHC-P |
Hu |
7.0ml |
237 € |
E4451.pdf |
|
E1901 |
Melanoma / gp100 |
Ready-to-use |
IHC-P |
Hu |
7.0ml |
302 € |
E1901.pdf |
|
E1924 |
Mesothelin |
1:20 (30') |
IHC-P |
Hu |
1.0ml |
549 € |
E1924.pdf |
|
E1921 |
Mesothelin |
Ready-to-use (30') |
IHC-P |
Hu |
7.0ml |
302 € |
E1921.pdf |
|
E2894 |
mGluR1 |
1:50 |
IHC-P, WB, IP |
Hu, Ms, Rt |
1.0ml |
510 € |
E2894.pdf |
|
E2891 |
mGluR1 |
Ready-to-use |
IHC-P |
Hu, Ms, Rt |
7.0ml |
250 € |
E2891.pdf |
|
E2874 |
mGluR5 |
1:50 |
IHC-P, WB, IP |
Hu, Rt, Rb |
1.0ml |
510 € |
E2874.pdf |
|
E2871 |
mGluR5 |
Ready-to-use |
IHC-P |
Hu, Rt, Rb |
7.0ml |
250 € |
E2871.pdf |
|
E6134 |
MGMT |
1:50 |
IHC-P,WB,FC |
Hu |
1.0ml |
627 € |
E6134.pdf |
|
E6131 |
MGMT |
Ready-to-use |
IHC-P |
Hu |
7.0ml |
302 € |
E6131.pdf |
|
E6154 |
MHC II (HLA-DR) Ia |
1:50 |
IHC-P,FC |
Hu |
1.0ml |
406 € |
E6154.pdf |
|
E6174 |
Milk Fat Globule Membrane Protein |
1:50 |
IHC-P,WB,IP,IF |
Hu |
1.0ml |
484 € |
E6174.pdf |
|
E6171 |
Milk Fat Globule Membrane Protein |
Ready-to-use |
IHC-P |
Hu |
7.0ml |
302 € |
E6171.pdf |
|
E12684 |
MIP-1 alpha |
1:50 |
IHC-P |
Hu |
1.0ml |
510 € |
E12684.pdf |
|
E12681 |
MIP-1 alpha |
Ready-to-use |
IHC-P |
Hu |
7.0ml |
289 € |
E12681.pdf |
|
E17904 |
MITF |
1:100 |
IHC-P |
Hu |
1ml |
510 € |
E17904.pdf |
|
E17901 |
MITF |
Ready-to-use |
IHC-P |
Hu |
7ml |
302 € |
E17901.pdf |
|
E5204 |
Mitochondria |
1:50 |
IHC-P,WB,IF |
Hu |
1.0ml |
562 € |
E5204.pdf |
|
E5201 |
Mitochondria |
Ready-to-use |
IHC-P |
Hu |
7.0ml |
302 € |
E5201.pdf |
|
E17814 |
MLH1 |
1:100 |
IHC-P |
Hu |
1ml |
510 € |
E17814.pdf |
|
E17811 |
MLH1 |
Ready-to-use |
IHC-P |
Hu |
7ml |
302 € |
E17811.pdf |
|
E3574 |
MMP-1 |
1:200 |
IHC-P, WB |
Hu |
1.0ml |
445 € |
E3574.pdf |
|
E3571 |
MMP-1 |
Ready-to-use |
IHC-P |
Hu |
7.0ml |
237 € |
E3571.pdf |
|
E3674 |
MMP-10 / Stromelysin-2 |
1:50 |
IHC-P, WB |
Hu |
1.0ml |
445 € |
E3674.pdf |
|
E6734 |
MMP-10 / Stromelysin-2 |
1:50 |
IHC-P,WB,IP |
Hu |
1ml |
627 € |
E6734.pdf |
|
E3671 |
MMP-10 / Stromelysin-2 |
Ready-to-use |
IHC-P |
Hu |
7.0ml |
211 € |
E3671.pdf |
|
E5214 |
MMP-11 / Stromelysin-3 |
1:50 |
IHC-P,WB,IP |
Hu |
1.0ml |
653 € |
E5214.pdf |
|
E5211 |
MMP-11 / Stromelysin-3 |
Ready-to-use |
IHC-P |
Hu |
7.0ml |
302 € |
E5211.pdf |
|
E6184 |
MMP-13 / Collagenase-3 |
1:50 |
IHC-P,IP |
Hu,Ms,Rb |
1.0ml |
627 € |
E6184.pdf |
|
E6181 |
MMP-13 / Collagenase-3 |
Ready-to-use |
IHC-P |
Hu,Ms,Rb |
7.0ml |
302 € |
E6181.pdf |
|
E3864 |
MMP-14 |
1:30 |
IHC-P, WB |
Hu |
1.0ml |
445 € |
E3864.pdf |
|
E3861 |
MMP-14 |
Ready-to-use |
IHC-P |
Hu |
7.0ml |
211 € |
E3861.pdf |
|
E4124 |
MMP-15 |
1:50 |
IHC-P, WB |
Hu, Ms |
1.0ml |
445 € |
E4124.pdf |
|
E4121 |
MMP-15 |
Ready-to-use |
IHC-P |
Hu, Ms |
7.0ml |
237 € |
E4121.pdf |
|
E4034 |
MMP-19 |
1:25 |
IHC-P, WB |
Hu |
1.0ml |
445 € |
E4034.pdf |
|
E4031 |
MMP-19 |
Ready-to-use |
IHC-P |
Hu |
7.0ml |
211 € |
E4031.pdf |
|
E3654 |
MMP-2 |
1:100 |
IHC-P, WB |
Hu |
1.0ml |
445 € |
E3654.pdf |
|
E3651 |
MMP-2 |
Ready-to-use |
IHC-P |
Hu |
7.0ml |
211 € |
E3651.pdf |
|
E6744 |
MMP-2 (72kDa Collagenase IV) |
1:50 |
IHC-P,WB |
Hu,Ms,Rt |
1ml |
627 € |
E6744.pdf |
|
E6741 |
MMP-2 (72kDa Collagenase IV) |
Ready-to-use |
IHC-P |
Hu,Ms,Rt |
7ml |
302 € |
E6741.pdf |
|
E4044 |
MMP-23 |
1:25 |
IHC-P, WB |
Hu |
1.0ml |
445 € |
E4044.pdf |
|
E4041 |
MMP-23 |
Ready-to-use |
IHC-P |
Hu |
7.0ml |
211 € |
E4041.pdf |
|
E12674 |
MMP-3 |
1:50 |
IHC-P |
Hu |
1.0ml |
510 € |
E12674.pdf |
|
E12671 |
MMP-3 |
Ready-to-use |
IHC-P |
Hu |
7.0ml |
289 € |
E12671.pdf |
|
E6194 |
MMP-3 (Stromelysin-1) |
1:10(60') |
IHC-P,WB,IF |
Hu |
1.0ml |
627 € |
E6194.pdf |
|
E6191 |
MMP-3 (Stromelysin-1) |
Ready-to-use |
IHC-P |
Hu |
7.0ml |
302 € |
E6191.pdf |
|
E6204 |
MMP-7 (Matrilysin) |
1:25 |
IHC-P,IF,AP |
Hu |
1.0ml |
627 € |
E6204.pdf |
|
E6201 |
MMP-7 (Matrilysin) |
Ready-to-use |
IHC-P |
Hu |
7.0ml |
302 € |
E6201.pdf |
|
E3664 |
MMP-9 |
1:100 |
IHC-P, WB |
Hu, Gp |
1.0ml |
445 € |
E3664.pdf |
|
E3661 |
MMP-9 |
Ready-to-use |
IHC-P |
Hu, Gp |
7.0ml |
211 € |
E3661.pdf |
|
E6214 |
Moesin |
1:200 |
IHC-P,WB,IP,IF |
Hu,Co |
1.0ml |
627 € |
E6214.pdf |
|
E6211 |
Moesin |
Ready-to-use |
IHC-P |
Hu,Co |
7.0ml |
302 € |
E6211.pdf |
|
E17794 |
MSH2 |
1:100 |
IHC-P, WB |
Hu |
1ml |
510 € |
E17794.pdf |
|
E17791 |
MSH2 |
Ready-to-use |
IHC-P |
Hu |
7ml |
302 € |
E17791.pdf |
|
E17674 |
MSH6 |
1:50 |
IHC-P |
Hu |
1ml |
510 € |
E17674.pdf |
|
E17671 |
MSH6 |
Ready-to-use |
IHC-P |
Hu |
7ml |
302 € |
E17671.pdf |
|
E3544 |
Muc-1 |
1:100 |
IHC-P |
Hu, Ms |
1.0ml |
445 € |
E3544.pdf |
|
E11194 |
MUC-1 |
1:150 |
IHC-P |
Hu |
200ug |
510 € |
E11194.pdf |
|
E11191 |
MUC-1 |
Ready-to-use |
IHC-P |
Hu |
7.0ml |
289 € |
E11191.pdf |
|
E3541 |
Muc-1 |
Ready-to-use |
IHC-P |
Hu, Ms |
7.0ml |
237 € |
E3541.pdf |
|
E11204 |
MUC-1 underglycosylated |
1:50 |
IHC-P |
Hu |
200ug |
510 € |
E11204.pdf |
|
E11201 |
MUC-1 underglycosylated |
Ready-to-use |
IHC-P |
Hu |
7.0ml |
289 € |
E11201.pdf |
|
E6224 |
Mucin 2 |
1:50 |
IHC-P,WB |
Hu |
1.0ml |
666 € |
E6224.pdf |
|
E6221 |
Mucin 2 |
Ready-to-use |
IHC-P |
Hu |
7.0ml |
302 € |
E6221.pdf |
|
E16564 |
Mucin 2 / MUC2 |
1:200 |
IHC-P |
Hu |
1.0ml |
510 € |
E16564.pdf |
|
E16561 |
Mucin 2 / MUC2 |
Ready-to-use |
IHC-P |
Hu |
7.0ml |
302 € |
E16561.pdf |
|
E5234 |
Mucin 3 (MUC3) |
1:25 |
IHC-P |
Hu |
1.0ml |
666 € |
E5234.pdf |
|
E5231 |
Mucin 3 (MUC3) |
Ready-to-use |
IHC-P |
Hu |
7.0ml |
302 € |
E5231.pdf |
|
E11074 |
Mucin 5AC |
1:100 |
IHC-P |
Hu, Ms, Rt |
200ug |
445 € |
E11074.pdf |
|
E11084 |
Mucin 5AC |
1:100 |
IHC-P |
Hu,Ms,Rt,Mo,Pi |
200ug |
445 € |
E11084.pdf |
|
E6234 |
Mucin 5AC |
1:50 |
IHC-P |
Hu,Ms,Rt,Mo |
1.0ml |
497 € |
E6234.pdf |
|
E6231 |
Mucin 5AC |
Ready-to-use |
IHC-P |
Hu,Ms,Rt,Mo |
7.0ml |
302 € |
E6231.pdf |
|
E11081 |
Mucin 5AC |
Ready-to-use |
IHC-P |
Hu,Ms,Rt,Mo,Pi |
7.0ml |
289 € |
E11081.pdf |
|
E11071 |
Mucin 5AC |
Ready-to-use |
IHC-P |
Hu, Ms, Rt |
7.0ml |
289 € |
E11071.pdf |
|
E16424 |
MUM1 / IRF4 |
1:50 |
IHC-P |
Hu |
1.0ml |
510 € |
E16424.pdf |
|
E16421 |
MUM1 / IRF4 |
Ready-to-use |
IHC-P |
Hu |
7.0ml |
302 € |
E16421.pdf |
|
E12664 |
MUM1/IRF4 |
1:50 |
IHC-P |
Hu |
1.0ml |
666 € |
E12664.pdf |
|
E12661 |
MUM1/IRF4 |
Ready-to-use |
IHC-P |
Hu |
7.0ml |
289 € |
E12661.pdf |
|
E1944 |
Myelin Basic Protein |
1:300 |
IHC-P |
Hu |
1.0ml |
718 € |
E1944.pdf |
|
E1941 |
Myelin Basic Protein |
Ready-to-use |
IHC-P |
Hu |
7.0ml |
432 € |
E1941.pdf |
|
E1954 |
Myeloperoxidase |
1:100 |
IHC-P |
Hu, Ms, Rt |
1.0ml |
393 € |
E1954.pdf |
|
E17714 |
Myeloperoxidase |
1:100 |
IHC-P |
Hu |
1ml |
510 € |
E17714.pdf |
|
E17711 |
Myeloperoxidase |
Ready-to-use |
IHC-P |
Hu |
7ml |
302 € |
E17711.pdf |
|
E1951 |
Myeloperoxidase |
Ready-to-use |
IHC-P |
Hu, Ms, Rt |
7.0ml |
185 € |
E1951.pdf |
|
E1964 |
Myogenin |
1:40 (30') |
IHC-P, WB, IP |
Hu, Ms, Rt |
1.0ml |
536 € |
E1964.pdf |
|
E1961 |
Myogenin |
Ready-to-use (30') |
IHC-P |
Hu, Ms, Rt |
7.0ml |
302 € |
E1961.pdf |
|
E2994 |
Myoglobin |
1:200 |
IHC-P, WB |
Hu |
1.0ml |
237 € |
E2994.pdf |
|
E2991 |
Myoglobin |
Ready-to-use |
IHC-P |
Hu |
7.0ml |
172 € |
E2991.pdf |
|
E5244 |
Myosin Smooth Muscle Heavy Chain |
1:50 |
IHC-P |
Hu |
1.0ml |
484 € |
E5244.pdf |
|
E5241 |
Myosin Smooth Muscle Heavy Chain |
Ready-to-use |
IHC-P |
Hu |
7.0ml |
302 € |
E5241.pdf |
|
E9994 |
NC for Ms IgG1 |
|
IHC-P, WB, IP |
Hu, Ms, Rt |
1.0ml |
302 € |
E9994.pdf |
|
E9991 |
NC for Ms IgG1 |
Ready-to-use |
IHC-P |
Hu, Ms, Rt |
7.0ml |
172 € |
E9991.pdf |
|
E9974 |
NC for Ms IgG2a |
|
IHC-P, WB, IP |
Hu, Ms, Rt |
1.0ml |
302 € |
E9974.pdf |
|
E9971 |
NC for Ms IgG2a |
Ready-to-use |
IHC-P |
Hu, Ms, Rt |
7.0ml |
172 € |
E9971.pdf |
|
E9984 |
NC for Rabbit IgG |
1:100 |
|
|
1.0ml |
302 € |
E9984.pdf |
|
E9981 |
NC for Rabbit IgG |
Ready-to-use |
|
|
7.0ml |
172 € |
E9981.pdf |
|
E11044 |
NCK2 |
1:100 |
IHC-P |
Hu |
1.0ml |
445 € |
E11044.pdf |
|
E11041 |
NCK2 |
Ready-to-use |
IHC-P |
Hu |
7.0ml |
289 € |
E11041.pdf |
|
E5274 |
Neurofilament (68kDa) |
1:50 |
IHC-P,WB |
Hu |
1.0ml |
406 € |
E5274.pdf |
|
E5271 |
Neurofilament (68kDa) |
Ready-to-use |
IHC-P |
Hu |
7.0ml |
302 € |
E5271.pdf |
|
E1984 |
Neurofilaments (200kDa & 68kDa) |
1:50 |
IHC-P, WB, IP |
Hu, Ms, Rt |
1.0ml |
445 € |
E1984.pdf |
|
E1981 |
Neurofilaments (200kDa & 68kDa) |
Ready-to-use |
IHC-P |
Hu, Ms, Rt |
7.0ml |
198 € |
E1981.pdf |
|
E6754 |
Neuron Specific Enolase |
1:100 |
IHC-P,WB,IP |
Hu |
1ml |
497 € |
E6754.pdf |
|
E6751 |
Neuron Specific Enolase |
Ready-to-use |
IHC-P |
Hu |
7ml |
302 € |
E6751.pdf |
|
E3634 |
NFkB p50 |
1:100 |
IHC-P |
Hu |
1.0ml |
445 € |
E3634.pdf |
|
E3631 |
NFkB p50 |
Ready-to-use |
IHC-P |
Hu |
7.0ml |
211 € |
E3631.pdf |
|
E2754 |
NFkB p65 |
1:100 |
IHC-P, WB |
Hu, Rt, Rb |
1.0ml |
510 € |
E2754.pdf |
|
E2751 |
NFkB p65 |
Ready-to-use |
IHC-P |
Hu, Rt, Rb |
7.0ml |
211 € |
E2751.pdf |
|
E6254 |
NGF-Receptor (p75NGFR) |
1:50 |
IHC-P,IF,FC |
Hu,Rb,Mo |
1.0ml |
575 € |
E6254.pdf |
|
E6251 |
NGF-Receptor (p75NGFR) |
Ready-to-use |
IHC-P |
Hu,Rb,Mo |
7.0ml |
302 € |
E6251.pdf |
|
E4114 |
Nitric Oxide Synthase, endothelial (eNOS) |
1:70 |
IHC-P, WB |
Hu, Ms, Rt |
1.0ml |
445 € |
E4114.pdf |
|
E4111 |
Nitric Oxide synthase, endothelial (eNOS) |
Ready-to-use |
IHC-P |
Hu, Ms, Rt |
7.0ml |
237 € |
E4111.pdf |
|
E3741 |
Nitric Oxide Synthase, inducible (iNOS) |
Ready-to-use |
IHC-P |
Hu, Ms, Rt |
7.0ml |
211 € |
E3741.pdf |
|
E3934 |
Nitric Oxide Synthase, universal (uNOS) |
1:50 |
IHC-P, WB |
Hu, Ms, Rt |
1.0ml |
445 € |
E3934.pdf |
|
E3931 |
Nitric Oxide synthase, universal (uNOS) |
Ready-to-use |
IHC-P |
Hu, Ms, Rt |
7.0ml |
211 € |
E3931.pdf |
|
E14104 |
NKX3.1 |
1:25 |
IHC-P |
Hu |
1.0ml |
510 € |
E14104.pdf |
|
E14101 |
NKX3.1 |
Ready-to-use |
IHC-P |
Hu |
7.0ml |
289 € |
E14101.pdf |
|
E5294 |
Notch |
1:50 |
IHC-P,FC |
Hu,Ms |
1.0ml |
627 € |
E5294.pdf |
|
E5291 |
Notch |
Ready-to-use |
IHC-P |
Hu,Ms |
7.0ml |
302 € |
E5291.pdf |
|
E10864 |
Notch 1 |
1:200 |
IHC-P |
Hu, Ms, Rt |
1.0ml |
510 € |
E10864.pdf |
|
E10861 |
Notch 1 |
Ready-to-use |
IHC-P |
Hu, Ms, Rt |
7.0ml |
289 € |
E10861.pdf |
|
E3744 |
notric Oxide synthase, inducible (iNOS) |
1:100 |
IHC-P, WB |
Hu, Ms, Rt |
1.0ml |
445 € |
E3744.pdf |
|
E12504 |
Nrf2 |
1:100 |
IHC-P |
Hu, Ms, Rt |
1.0ml |
510 € |
E12504.pdf |
|
E12501 |
Nrf2 |
Ready-to-use |
IHC-P |
Hu, Ms, Rt |
7.0ml |
289 € |
E12501.pdf |
|
E3304 |
NSE |
1:300 |
IHC-P |
Hu |
1.0ml |
406 € |
E3304.pdf |
|
E3301 |
NSE |
Ready-to-use |
IHC-P |
Hu |
7.0ml |
172 € |
E3301.pdf |
|
E5304 |
Nucleophosmin (NPM) |
1:50 |
IHC-P |
Hu |
1.0ml |
523 € |
E5304.pdf |
|
E5301 |
Nucleophosmin (NPM) |
Ready-to-use |
IHC-P |
Hu |
7.0ml |
302 € |
E5301.pdf |
|
E17464 |
Occludin |
1:50 |
IHC-P, WB |
Hu |
1ml |
510 € |
E17464.pdf |
|
E17461 |
Occludin |
Ready-to-use |
IHC-P |
Hu |
7ml |
302 € |
E17461.pdf |
|
E3844 |
Oct-1 |
1:50 |
IHC-P, WB, IP |
Hu, Ms, Rt |
1.0ml |
445 € |
E3844.pdf |
|
E3841 |
Oct-1 |
Ready-to-use |
IHC-P |
Hu, Ms, Rt |
7.0ml |
211 € |
E3841.pdf |
|
E4304 |
Oct-2 |
1:50 (30') |
IHC-P, WB, IP |
Hu, Ms, Rt |
1.0ml |
445 € |
E4304.pdf |
|
E4301 |
Oct-2 |
Ready-to-use |
IHC-P |
Hu, Ms, Rt |
7.0ml |
250 € |
E4301.pdf |
|
E17724 |
Oct3/4 |
1:50 |
IHC-P |
Hu |
1ml |
510 € |
E17724.pdf |
|
E17721 |
Oct3/4 |
Ready-to-use |
IHC-P |
Hu |
7ml |
302 € |
E17721.pdf |
|
E3284 |
Osteopontin |
1:50 |
IHC-P, WB |
Hu, Pg, Dg |
1.0ml |
445 € |
E3284.pdf |
|
E3281 |
Osteopontin |
Ready-to-use |
IHC-P |
Hu, Pg, Dg |
7.0ml |
250 € |
E3281.pdf |
|
E17534 |
p120 (catenin delta 1) |
1:100 |
IHC-P |
Hu |
1ml |
510 € |
E17534.pdf |
|
E17531 |
p120 (catenin delta 1) |
Ready-to-use |
IHC-P |
Hu |
7ml |
302 € |
E17531.pdf |
|
E6284 |
p130 |
1:50 |
IHC-P,WB,IP,IF |
Hu,Rt |
1.0ml |
627 € |
E6284.pdf |
|
E6281 |
p130 |
Ready-to-use |
IHC-P |
Hu,Rt |
7.0ml |
302 € |
E6281.pdf |
|
E6294 |
p130cas |
1:50 |
IHC-P,WB,IP |
Hu,Rt |
1.0ml |
575 € |
E6294.pdf |
|
E6291 |
p130cas |
Ready-to-use |
IHC-P |
Hu,Rt |
7.0ml |
302 € |
E6291.pdf |
|
E4354 |
p14ARF |
1:25 (30') |
IHC-P, WB |
Hu, Ms, Rt |
1.0ml |
445 € |
E4354.pdf |
|
E4351 |
p14ARF |
Ready-to-use |
IHC-P |
Hu, Ms, Rt |
7.0ml |
250 € |
E4351.pdf |
|
E6304 |
p15INK4b |
1:50 |
IHC-P,WB,IP,IF |
Hu,Do |
1.0ml |
666 € |
E6304.pdf |
|
E6301 |
p15INK4b |
Ready-to-use |
IHC-P |
Hu,Do |
7.0ml |
302 € |
E6301.pdf |
|
E6324 |
p18INK4c |
1:50 |
IHC-P,WB,IP,IF |
Hu,Ms |
1.0ml |
575 € |
E6324.pdf |
|
E6321 |
p18INK4c |
Ready-to-use |
IHC-P |
Hu,Ms |
7.0ml |
302 € |
E6321.pdf |
|
E6334 |
p21WAF1 |
1:50 |
IHC-P,IP,IF |
Hu |
1.0ml |
523 € |
E6334.pdf |
|
E6331 |
p21WAF1 |
Ready-to-use |
IHC-P |
Hu |
7.0ml |
302 € |
E6331.pdf |
|
E2604 |
p27Kip1 |
1:100 |
IHC-P, WB, IP |
Hu, Ms, Rt |
1.0ml |
445 € |
E2604.pdf |
|
E6764 |
p27Kip1 |
1:50 |
IHC-P,WB,IP,IF,FC |
Hu,Ms,Rt,Dg |
1ml |
549 € |
E6764.pdf |
|
E6761 |
p27Kip1 |
Ready-to-use |
IHC-P |
Hu,Ms,Rt,Dg |
7ml |
302 € |
E6761.pdf |
|
E2601 |
p27Kip1 |
Ready-to-use |
IHC-P |
Hu, Ms, Rt |
7.0ml |
302 € |
E2601.pdf |
|
E14074 |
p300 |
1:50 |
IHC-P |
Hu, Ms, Rt |
1.0ml |
627 € |
E14074.pdf |
|
E14071 |
p300 |
Ready-to-use |
IHC-P |
Hu, Ms, Rt |
7.0ml |
289 € |
E14071.pdf |
|
E6344 |
p300 / CBP |
1:50 |
IHC-P,IP,IF |
Hu,Ms,Rt,Mo |
1.0ml |
627 € |
E6344.pdf |
|
E6341 |
p300 / CBP |
Ready-to-use |
IHC-P |
Hu,Ms,Rt,Mo |
7.0ml |
302 € |
E6341.pdf |
|
E4404 |
P504S |
1:100 |
IHC-P |
Hu |
1.0ml |
497 € |
E4404.pdf |
|
E4401 |
P504S |
Ready-to-use |
IHC-P |
Hu |
7.0ml |
250 € |
E4401.pdf |
|
E16344 |
p504S / AMACR |
1:20 |
IHC-P |
Hu |
1.0ml |
718 € |
E16344.pdf |
|
E16341 |
p504S / AMACR |
Ready-to-use |
IHC-P |
Hu |
7.0ml |
367 € |
E16341.pdf |
|
E2014 |
p53 |
1:100 |
IHC-P, WB |
Hu, Ms, Rt |
1.0ml |
302 € |
E2014.pdf |
|
E16574 |
p53 |
1:400 |
IHC-P |
Hu |
1.0ml |
510 € |
E16574.pdf |
|
E6774 |
p53 |
1:50 |
IHC-P,WB,IP,FC |
Hu,Ms,Rt,Mk,Co |
1ml |
484 € |
E6774.pdf |
|
E6771 |
p53 |
Ready-to-use |
IHC-P |
Hu,Ms,Rt,Mk,Co |
7ml |
302 € |
E6771.pdf |
|
E16571 |
p53 |
Ready-to-use |
IHC-P |
Hu |
7.0ml |
302 € |
E16571.pdf |
|
E2011 |
p53 |
Ready-to-use |
IHC-P |
Hu, Ms, Rt |
7.0ml |
185 € |
E2011.pdf |
|
E14804 |
p53 antibody [B20.1 (BP 53.122)] |
1:100 |
IHC-P, IF,IP, WB |
Hu, Ms, Rt, Ck, Pg |
1ml |
666 € |
E14804.pdf |
|
E14801 |
p53 antibody [B20.1 (BP 53.122)]-prediluted |
Ready-to-use |
IHC-P, IP, WB |
Hu |
7ml |
510 € |
E14801.pdf |
|
E6354 |
p57 |
1:50 |
IHC-P,IP |
Hu,Ms |
1.0ml |
549 € |
E6354.pdf |
|
E6351 |
p57 |
Ready-to-use |
IHC-P |
Hu,Ms |
7.0ml |
302 € |
E6351.pdf |
|
E5314 |
p63 (p53 Family Member) |
1:100 |
IHC-P,WB,IP,IF |
Hu,Ms,Rt |
1.0ml |
549 € |
E5314.pdf |
|
E4574 |
p63 (p53 Family Member) |
1:25 |
IHC-P, WB |
Hu |
1.0ml |
445 € |
E4574.pdf |
|
E4571 |
p63 (p53 Family Member) |
Ready-to-use |
IHC-P |
Hu |
7.0ml |
237 € |
E4571.pdf |
|
E5311 |
p63 (p53 Family Member) |
Ready-to-use |
IHC-P |
Hu,Ms,Rt |
7.0ml |
302 € |
E5311.pdf |
|
E17894 |
Parathyroid Hormone Receptor 1 |
1:50 |
IHC-P |
Hu |
1ml |
510 € |
E17894.pdf |
|
E17891 |
Parathyroid Hormone Receptor 1 |
Ready-to-use |
IHC-P |
Hu |
7ml |
302 € |
E17891.pdf |
|
E5324 |
Parathyroid Hormone Receptor Type 1 |
1:50 |
IHC-P,WB |
Hu |
1.0ml |
627 € |
E5324.pdf |
|
E5321 |
Parathyroid Hormone Receptor Type 1 |
Ready-to-use |
IHC-P |
Hu |
7.0ml |
302 € |
E5321.pdf |
|
E3474 |
Parkin |
1:30 |
IHC-P |
Hu, Ms, Rt |
1.0ml |
445 € |
E3474.pdf |
|
E3471 |
Parkin |
Ready-to-use |
IHC-P |
Hu, Ms, Rt |
7.0ml |
237 € |
E3471.pdf |
|
E4224 |
PARP |
1:100 |
IHC-P, WB |
Hu, Ms, Rt |
1.0ml |
445 € |
E4224.pdf |
|
E4221 |
PARP |
Ready-to-use |
IHC-P |
Hu, Ms, Rt |
7.0ml |
211 € |
E4221.pdf |
|
E4394 |
Pax-5 |
1:50(30') |
IHC-P, WB, IP |
Hu, Ms, Rt |
1.0ml |
445 € |
E4394.pdf |
|
E4391 |
Pax-5 |
Ready-to-use |
IHC-P, WB, IP |
hu, Ms, Rt |
7.0ml |
250 € |
E4391.pdf |
|
E13874 |
Paxillin |
1:50 |
IHC-P |
Hu |
1.0ml |
510 € |
E13874.pdf |
|
E6364 |
Paxillin |
1:50 |
IHC-P,WB,IP,IF |
Hu,Rt |
1.0ml |
614 € |
E6364.pdf |
|
E6361 |
Paxillin |
Ready-to-use |
IHC-P |
Hu,Rt |
7.0ml |
302 € |
E6361.pdf |
|
E13871 |
Paxillin |
Ready-to-use |
IHC-P |
Hu |
7.0ml |
289 € |
E13871.pdf |
|
E2854 |
PCNA |
1:200 |
IHC-P, WB |
Hu |
1.0ml |
406 € |
E2854.pdf |
|
E6784 |
PCNA |
1:100 |
IHC-P,WB,IP,FC |
Hu,Ms,Rt |
1ml |
497 € |
E6784.pdf |
|
E6781 |
PCNA |
Ready-to-use |
IHC-P |
Hu,Ms,Rt |
7ml |
302 € |
E6781.pdf |
|
E2851 |
PCNA |
Ready-to-use |
IHC-P |
Hu |
7.0ml |
172 € |
E2851.pdf |
|
E17694 |
PDCD6 |
1:50 |
IHC-P |
Hu |
1ml |
510 € |
E17694.pdf |
|
E17691 |
PDCD6 |
Ready-to-use |
IHC-P |
Hu |
7ml |
302 € |
E17691.pdf |
|
E3894 |
PDGF |
1:100 |
IHC-P, WB, IF |
Hu, Rt |
1.0ml |
445 € |
E3894.pdf |
|
E3891 |
PDGF |
Ready-to-use |
IHC-P |
Hu, Rt |
7.0ml |
211 € |
E3891.pdf |
|
E2694 |
PDGFR alpha |
1:50 |
IHC-P, WB, IP |
Hu, Ms |
1.0ml |
445 € |
E2694.pdf |
|
E8664 |
PDGFR alpha |
1:50 |
IHC-P |
Hu, Ms |
1.0ml |
510 € |
E8664.pdf |
|
E8661 |
PDGFR alpha |
Ready-to-use |
IHC-P |
Hu, Ms |
7.0ml |
289 € |
E8661.pdf |
|
E2691 |
PDGFR alpha |
Ready-to-use |
IHC-P |
Hu, Ms |
7.0ml |
237 € |
E2691.pdf |
|
E2734 |
PDGFR beta |
1:50 |
IHC-P, WB |
Hu, Ms |
1.0ml |
445 € |
E2734.pdf |
|
E2731 |
PDGFR beta |
Ready-to-use |
IHC-P |
Hu, Ms |
7.0ml |
211 € |
E2731.pdf |
|
E5334 |
Pds1 |
1:50 |
IHC-P |
Hu |
1.0ml |
614 € |
E5334.pdf |
|
E5331 |
Pds1 |
Ready-to-use |
IHC-P |
Hu |
7.0ml |
302 € |
E5331.pdf |
|
E10951 |
Peri |
Ready-to-use |
IHC-P |
Hu |
7.0ml |
289 € |
E10951.pdf |
|
E10954 |
Peripherin |
1:400 |
IHC-P, WB |
Hu |
1.0ml |
510 € |
E10954.pdf |
|
E10951 |
Peripherin |
Ready-to-use |
IHC-P |
Hu |
7.0ml |
289 € |
E10951.pdf |
|
E3344 |
PGP9.5 |
1:200 |
IHC-P |
Hu |
1.0ml |
445 € |
E3344.pdf |
|
E3341 |
PGP9.5 |
Ready-to-use |
IHC-P |
Hu |
7.0ml |
237 € |
E3341.pdf |
|
E3074 |
Phospho-Ser/Thr/Tyr |
200ug |
IHC-P, WB, IP, IF, KA |
All species |
1.0ml |
419 € |
E3074.pdf |
|
E3071 |
Phospho-Ser/Thr/Tyr |
Ready-to-use |
IHC-P |
All species |
7.0ml |
172 € |
E3071.pdf |
|
E3084 |
Phosphotyrosine |
200ug |
IHC-P, WB, IP, IF, KA |
All species |
1.0ml |
211 € |
E3084.pdf |
|
E3081 |
Phosphotyrosine |
Ready-to-use |
IHC-P |
All species |
7.0ml |
172 € |
E3081.pdf |
|
E3584 |
PKC epsilon |
1:100 |
IHC-P, WB, IP |
Hu, Ms, Rt |
1.0ml |
445 € |
E3584.pdf |
|
E3581 |
PKC epsilon |
Ready-to-use |
IHC-P |
Hu, Ms, Rt |
7.0ml |
237 € |
E3581.pdf |
|
E2044 |
PLAP |
1:40 |
IHC-P |
Hu |
1.0ml |
302 € |
E2044.pdf |
|
E2041 |
PLAP |
Ready-to-use |
IHC-P |
Hu |
7.0ml |
185 € |
E2041.pdf |
|
E6374 |
Plasma Cell Marker |
1:50 |
IHC-P |
Hu |
1.0ml |
445 € |
E6374.pdf |
|
E6371 |
Plasma Cell Marker |
Ready-to-use |
IHC-P |
Hu |
7.0ml |
302 € |
E6371.pdf |
|
E14114 |
PLC beta1 |
1:25 |
IHC-P |
Hu, Ms, Rt |
1.0ml |
510 € |
E14114.pdf |
|
E14111 |
PLC beta1 |
Ready-to-use |
IHC-P |
Hu, Ms, Rt |
7.0ml |
289 € |
E14111.pdf |
|
E12474 |
PLC gamma 2 |
1:50 |
IHC-P, WB |
Hu, Ms, Rt |
1.0ml |
510 € |
E12474.pdf |
|
E12471 |
PLC gamma 2 |
Ready-to-use |
IHC-P |
Hu, Ms, Rt |
7.0ml |
289 € |
E12471.pdf |
|
E12404 |
PML |
1:100 |
IHC-P |
Hu |
1.0ml |
367 € |
E12404.pdf |
|
E12401 |
PML |
Ready-to-use |
IHC-P |
Hu |
7.0ml |
289 € |
E12401.pdf |
|
E6794 |
PMP-22 |
1:50 |
IHC-P |
Hu |
1ml |
627 € |
E6794.pdf |
|
E6791 |
PMP-22 |
Ready-to-use |
IHC-P |
Hu |
7ml |
302 € |
E6791.pdf |
|
E3524 |
PMP22 |
1:50 |
IHC-P |
Hu |
1.0ml |
445 € |
E3524.pdf |
|
E3521 |
PMP22 |
Ready-to-use |
IHC-P |
Hu |
7.0ml |
237 € |
E3521.pdf |
|
E6934 |
Pneumocystic Jiroveci |
1:50 |
IHC-P |
P. Jiroveci infected tissues |
1.0ml |
419 € |
E6934.pdf |
|
E6931 |
Pneumocystis Jiroveci |
Ready-to-use |
IHC-P |
Hu |
7.0ml |
302 € |
E6931.pdf |
|
E10804 |
Potassium channel kv3.2 |
1:50 |
IHC-P |
Hu, Ms, Rt |
1.0ml |
445 € |
E10804.pdf |
|
E10801 |
Potassium channel kv3.2 |
Ready-to-use |
IHC-P |
Hu, Ms, Rt |
7.0ml |
289 € |
E10801.pdf |
|
E3484 |
Presenillin |
1:30 (30') |
IHC-P |
Hu |
1.0ml |
445 € |
E3484.pdf |
|
E3481 |
Presenillin |
Ready-to-use |
IHC-P |
Hu |
7.0ml |
237 € |
E3481.pdf |
|
E2074 |
Progesterone Receptor |
1:200 |
IHC-P, WB |
Hu |
1.0ml |
445 € |
E2074.pdf |
|
E2071 |
Progesterone Receptor |
Ready-to-use |
IHC-P |
Hu |
7.0ml |
302 € |
E2071.pdf |
|
E17754 |
Prohibitin |
1:100 |
IHC-P, WB |
Hu |
1ml |
510 € |
E17754.pdf |
|
E6384 |
Prohibitin |
1:50 |
IHC-P,WB,IP,IF |
Hu,Ms,Rt,Pi,Ch |
1.0ml |
627 € |
E6384.pdf |
|
E6381 |
Prohibitin |
Ready-to-use |
IHC-P |
Hu,Ms,Rt,Pi,Ch |
7.0ml |
302 € |
E6381.pdf |
|
E17751 |
Prohibitin |
Ready-to-use |
IHC-P |
Hu |
7ml |
302 € |
E17751.pdf |
|
E17494 |
Prolactin |
1:200 |
IHC-P |
Hu |
1ml |
510 € |
E17494.pdf |
|
E3144 |
Prolactin |
1:200 |
IHC-P |
Hu |
1.0ml |
445 € |
E3144.pdf |
|
E5354 |
Prolactin |
1:50 |
IHC-P |
Hu |
1.0ml |
497 € |
E5354.pdf |
|
E5351 |
Prolactin |
Ready-to-use |
IHC-P |
Hu |
7.0ml |
302 € |
E5351.pdf |
|
E3141 |
Prolactin |
Ready-to-use |
IHC-P |
Hu |
7.0ml |
237 € |
E3141.pdf |
|
E17491 |
Prolactin |
Ready-to-use |
IHC-P |
Hu |
7ml |
302 € |
E17491.pdf |
|
E5364 |
Prolactin Receptor |
1:50 |
IHC-P,WB |
Hu |
1.0ml |
614 € |
E5364.pdf |
|
E5361 |
Prolactin Receptor |
Ready-to-use |
IHC-P |
Hu |
7.0ml |
302 € |
E5361.pdf |
|
E3424 |
Prostate Apoptosis Response 4 Protein |
1:100 |
IHC-P, WB |
Hu, Ms, Rt |
1.0ml |
445 € |
E3424.pdf |
|
E3421 |
Prostate Apoptosis Response 4 Protein |
Ready-to-use |
IHC-P |
Hu, Ms, Rt |
7.0ml |
211 € |
E3421.pdf |
|
E6394 |
Prostate Specific Acid Phosphatase |
1:200 |
IHC-P,IF |
Hu,Rt,Rb,Do |
1.0ml |
328 € |
E6394.pdf |
|
E6391 |
Prostate Specific Acid Phosphatase |
Ready-to-use |
IHC-P |
Hu,Rt,Rb,Do |
7.0ml |
302 € |
E6391.pdf |
|
E6804 |
Prostate Specific Antigen |
1:100 |
IHC-P,WB |
Hu |
1ml |
367 € |
E6804.pdf |
|
E6801 |
Prostate Specific Antigen |
Ready-to-use |
IHC-P |
Hu |
7ml |
302 € |
E6801.pdf |
|
E6404 |
pS2 |
1:50 |
IHC-P |
Hu |
1.0ml |
523 € |
E6404.pdf |
|
E6401 |
pS2 |
Ready-to-use |
IHC-P |
Hu |
7.0ml |
302 € |
E6401.pdf |
|
E2964 |
PSA |
1:200 |
IHC-P, WB |
Hu |
1.0ml |
263 € |
E2964.pdf |
|
E2961 |
PSA |
Ready-to-use |
IHC-P |
Hu |
7.0ml |
172 € |
E2961.pdf |
|
E3294 |
PSCA |
1:75 |
IHC-P |
Hu |
1.0ml |
445 € |
E3294.pdf |
|
E3291 |
PSCA |
Ready-to-use |
IHC-P |
Hu |
7.0ml |
237 € |
E3291.pdf |
|
E17334 |
PSMA |
1:100 |
IHC-P |
Hu |
1.0ml |
510 € |
E17334.pdf |
|
E16351 |
PSMA |
Ready-to-use |
IHC-P |
Hu |
7.0ml |
302 € |
E16351.pdf |
|
E17331 |
PSMA |
Ready-to-use |
IHC-P |
Hu |
7.0ml |
302 € |
E17331.pdf |
|
E4254 |
PTEN |
1:50 |
IHP-P, WB |
Hu |
1.0ml |
445 € |
E4254.pdf |
|
E4251 |
PTEN |
Ready-to-use |
IHC-P |
Hu |
7.0ml |
211 € |
E4251.pdf |
|
E5374 |
Rad51 |
1:50 |
IHC-P,WB,IP |
Hu,Ms,Rt |
1.0ml |
627 € |
E5374.pdf |
|
E5371 |
Rad51 |
Ready-to-use |
IHC-P |
Hu,Ms,Rt |
7.0ml |
302 € |
E5371.pdf |
|
E5384 |
Raf-1 (Phospho-specific) |
1:50 |
IHC-P |
Hu |
1.0ml |
692 € |
E5384.pdf |
|
E5381 |
Raf-1 (Phospho-specific) |
Ready-to-use |
IHC-P |
Hu |
7.0ml |
302 € |
E5381.pdf |
|
E12464 |
Ran |
1:50 |
IHC-P, WB |
Hu, Ms, Rt |
1.0ml |
510 € |
E12464.pdf |
|
E12461 |
Ran |
Ready-to-use |
IHC-P |
Hu, Ms, Rt |
7.0ml |
289 € |
E12461.pdf |
|
E4384 |
Ras |
1:50(30') |
IHC-P |
Hu, Ms, Rt |
1.0ml |
445 € |
E4384.pdf |
|
E4381 |
Ras |
Ready-to-use |
IHC-P |
Hu, Ms, Rt |
7.0ml |
250 € |
E4381.pdf |
|
E16374 |
RCAS1 |
1:100 |
IHC-P |
Hu |
1.0ml |
510 € |
E16374.pdf |
|
E16371 |
RCAS1 |
Ready-to-use |
IHC-P |
Hu |
7.0ml |
302 € |
E16371.pdf |
|
E13444 |
RCC1 |
1:100 |
IHC-P, WB |
Hu, Ms, Rt |
1.0ml |
510 € |
E13444.pdf |
|
E13441 |
RCC1 |
Ready-to-use |
IHC-P |
Hu, Ms, Rt |
7.0ml |
289 € |
E13441.pdf |
|
E11054 |
Renal Cell Carcinoma |
1:100 |
IHC-P |
Hu |
200ug |
393 € |
E11054.pdf |
|
E11064 |
Renal Cell Carcinoma |
1:50 |
IHC-P |
Hu, Rt |
200ug |
393 € |
E11064.pdf |
|
E6414 |
Renal Cell Carcinoma |
1:50 |
IHC-P,WB |
Hu,Rt |
1.0ml |
432 € |
E6414.pdf |
|
E6411 |
Renal Cell Carcinoma |
Ready-to-use |
IHC-P |
Hu,Rt |
7.0ml |
289 € |
E6411.pdf |
|
E11061 |
Renal Cell Carcinoma |
Ready-to-use |
IHC-P |
Hu, Rt |
7.0ml |
289 € |
E11061.pdf |
|
E11051 |
Renal Cell Carcinoma |
Ready-to-use |
IHC-P |
Hu |
7.0ml |
289 € |
E11051.pdf |
|
E4314 |
Retinoblastoma |
1:100 |
IHC-P, WB |
Hu, Ms, Rt |
1.0ml |
445 € |
E4314.pdf |
|
E6814 |
Retinoblastoma |
1:50 |
IHC-P,WB,IP,IF,FC |
Hu |
1ml |
536 € |
E6814.pdf |
|
E6811 |
Retinoblastoma |
Ready-to-use |
IHC-P |
Hu |
7ml |
302 € |
E6811.pdf |
|
E4311 |
Retinoblastoma |
Ready-to-use |
IHC-P |
Hu, Ms, Rt |
7.0ml |
211 € |
E4311.pdf |
|
E5394 |
Retinoic Acid Receptor (b) |
1:50 |
IHC-P |
Hu |
1.0ml |
627 € |
E5394.pdf |
|
E5391 |
Retinoic Acid Receptor (b) |
Ready-to-use |
IHC-P |
Hu |
7.0ml |
302 € |
E5391.pdf |
|
E4371 |
Retinoic Acid Receptor b |
Ready-to-use |
IHC-P |
Hu |
7ml |
250 € |
E4371.pdf |
|
E4374 |
Retinoic Acid Receptor Beta |
1:100 |
IHC-P |
Hu |
1.0ml |
445 € |
E4374.pdf |
|
E4374 |
Retinoic Acif Receptor beta |
Ready-to-use |
IHC-P |
Hu |
7.0ml |
445 € |
E4374.pdf |
|
E4194 |
ROC1 |
1:100 |
IHC-P, WB |
Hu, Ms |
1.0ml |
445 € |
E4194.pdf |
|
E4191 |
ROC1 |
Ready-to-use |
IHC-P |
Hu, Ms |
7.0ml |
211 € |
E4191.pdf |
|
E6434 |
RPA/p32 |
1:50 |
IHC-P,WB,IP,GSA |
Hu |
1.0ml |
627 € |
E6434.pdf |
|
E6431 |
RPA/p32 |
Ready-to-use |
IHC-P |
Hu |
7.0ml |
302 € |
E6431.pdf |
|
E4334 |
RXR-gamma |
1:100 |
IHC-P, WB |
Hu, Ms, Rt |
1.0ml |
445 € |
E4334.pdf |
|
E4331 |
RXR-gamma |
Ready-to-use |
IHC-P |
Hu, Ms, Rt |
7.0ml |
211 € |
E4331.pdf |
|
E2144 |
S100 |
1:300 |
IHC-P |
Hu |
1.0ml |
302 € |
E2144.pdf |
|
E6824 |
S100 |
1:50 |
IHC-P |
Hu,Ms,Rt,Co |
1ml |
380 € |
E6824.pdf |
|
E6821 |
S100 |
Ready-to-use |
IHC-P |
Hu,Ms,Rt,Co |
7ml |
302 € |
E6821.pdf |
|
E2141 |
S100 |
Ready-to-use |
IHC-P |
Hu |
7.0ml |
198 € |
E2141.pdf |
|
E4444 |
S100A4 |
1:100 |
IHC-P |
Hu |
1.0ml |
497 € |
E4444.pdf |
|
E4441 |
S100A4 |
Ready-to-use |
IHC-P |
Hu |
7.0ml |
237 € |
E4441.pdf |
|
E17784 |
S6 Ribosomal |
1:50 |
IHC-P |
Hu |
1ml |
510 € |
E17784.pdf |
|
E17781 |
S6 Ribosomal |
Ready-to-use |
IHC-P |
Hu |
7ml |
302 € |
E17781.pdf |
|
E17774 |
S6 Ribosomal(paired240/244) |
1:50 |
IHC-P |
Hu |
1ml |
510 € |
E17774.pdf |
|
E17771 |
S6 Ribosomal(paired240/244) |
Ready-to-use |
IHC-P |
Hu |
7ml |
302 € |
E17771.pdf |
|
E17764 |
S6 Ribosomal(S240/244) |
1:50 |
IHC-P |
Hu |
1ml |
510 € |
E17764.pdf |
|
E17761 |
S6 Ribosomal(S240/244) |
Ready-to-use |
IHC-P |
Hu |
7ml |
302 € |
E17761.pdf |
|
E5404 |
Secretory Component |
1:50 |
IHC-P,IF |
Hu,Rt |
1.0ml |
367 € |
E5404.pdf |
|
E5401 |
Secretory Component |
Ready-to-use |
IHC-P |
Hu,Rt |
7.0ml |
302 € |
E5401.pdf |
|
E2154 |
Serotonin |
1:20 |
IHC-P |
Hu |
1.0ml |
328 € |
E2154.pdf |
|
E2151 |
Serotonin |
Ready-to-use |
IHC-P |
Hu |
7.0ml |
211 € |
E2151.pdf |
|
E12444 |
SH-PTP2 |
1:50 |
IHC-P, WB |
Hu, Ms, Rt |
1.0ml |
510 € |
E12444.pdf |
|
E12441 |
SH-PTP2 |
Ready-to-use |
IHC-P |
Hu, Ms, Rt |
7.0ml |
289 € |
E12441.pdf |
|
E14064 |
SHIP-1 |
1:100 |
IHC-P |
Hu, Ms, Rt |
1.0ml |
510 € |
E14064.pdf |
|
E14061 |
SHIP-1 |
Ready-to-use |
IHC-P |
Hu, Ms, Rt |
7.0ml |
289 € |
E14061.pdf |
|
E14124 |
SKP1 p19 |
1:100 |
IHC-P |
Hu, Ms, Rt |
1.0ml |
510 € |
E14124.pdf |
|
E14121 |
Skp1 p19 |
Ready-to-use |
IHC-P |
Hu, Ms, Rt |
7.0ml |
289 € |
E14121.pdf |
|
E13884 |
Skp2 |
1:100 |
IHC-P |
Hu |
1.0ml |
510 € |
E13884.pdf |
|
E13881 |
Skp2 |
Ready-to-use |
IHC-P |
Hu |
7.0ml |
289 € |
E13881.pdf |
|
E6464 |
sm |
1:50 |
IHC-P,WB,IF,AP |
Hu,Rt,Rb,Pi |
1.0ml |
562 € |
E6464.pdf |
|
E6461 |
sm |
Ready-to-use |
IHC-P |
Hu,Rt,Rb,Pi |
7.0ml |
302 € |
E6461.pdf |
|
E11254 |
Smad3 |
1:100 |
IHC-P |
Hu |
200µg |
510 € |
E11254.pdf |
|
E11251 |
Smad3 |
Ready-to-use |
IHC-P |
Hu |
7.0ml |
302 € |
E11251.pdf |
|
E10994 |
SMRTe |
1:25 |
IHC-P |
Hu |
1.0ml |
510 € |
E10994.pdf |
|
E10991 |
SMRTe |
Ready-to-use |
IHC-P |
Hu |
7.0ml |
302 € |
E10991.pdf |
|
E16724 |
SOCS-2 |
1:100 |
IHC-P |
Hu |
1.0ml |
510 € |
E16724.pdf |
|
E16721 |
SOCS-2 |
Ready-to-use |
IHC-P |
Hu |
7.0ml |
302 € |
E16721.pdf |
|
E16854 |
SOCS-3 |
1:50 |
IHC-P |
Hu |
1.0ml |
510 € |
E16854.pdf |
|
E16851 |
SOCS-3 |
Ready-to-use |
IHC-P |
Hu |
7.0ml |
302 € |
E16851.pdf |
|
E16784 |
SOCS-6 |
1:100 |
IHC-P, WB |
Hu, Ms |
1.0ml |
510 € |
E16784.pdf |
|
E16781 |
SOCS-6 |
Ready-to-use |
IHC-P |
Hu, Ms |
7.0ml |
302 € |
E16781.pdf |
|
E10294 |
Sodium Channel Pan |
1:200 |
IHC-P, WB |
Hu, Ms, Rt |
1.0ml |
510 € |
E10294.pdf |
|
E10291 |
Sodium Channel pan |
Ready-to-use |
IHC-P |
Hu, Ms, Rt |
1.0ml |
289 € |
E10291.pdf |
|
E2164 |
Somatostatin |
1:25 |
IHC-P |
Hu |
1.0ml |
536 € |
E2164.pdf |
|
E2161 |
Somatostatin |
Ready-to-use |
IHC-P |
Hu |
7.0ml |
263 € |
E2161.pdf |
|
E4094 |
Somatostatin Receptor 1 |
1:50 |
IHC-P |
Hu, Ms, Rt |
1ml |
445 € |
E4094.pdf |
|
E4091 |
Somatostatin Receptor 1 |
Ready-to-use |
IHC-P |
Hu, Ms, Rt |
7ml |
237 € |
E4091.pdf |
|
E17924 |
Sonic Hedglhog |
1:100 |
IHC-P |
Hu |
1ml |
510 € |
E17924.pdf |
|
E17921 |
Sonic Hedglhog |
Ready-to-use |
IHC-P |
Hu |
7ml |
302 € |
E17921.pdf |
|
E14044 |
Sox-9 |
1:50 |
IHC-P |
Hu |
1.0ml |
510 € |
E14044.pdf |
|
E14041 |
Sox-9 |
Ready-to-use |
IHC-P |
Hu |
7.0ml |
276 € |
E14041.pdf |
|
E16824 |
SOX14 |
1:100 |
IHC-P |
Hu |
1.0ml |
510 € |
E16824.pdf |
|
E16821 |
SOX14 |
Ready-to-use |
IHC-P |
Hu |
7.0ml |
302 € |
E16821.pdf |
|
E16384 |
SOX4 |
1:50 |
IHC-P |
Hu |
1.0ml |
510 € |
E16384.pdf |
|
E16381 |
SOX4 |
Ready-to-use |
IHC-P |
Hu |
7.0ml |
302 € |
E16381.pdf |
|
E13474 |
SOX9 |
1:50 |
IHC-P |
Hu |
1ml |
510 € |
E13474.pdf |
|
E13471 |
SOX9 |
Ready-to-use |
IHC-P |
Hu |
7ml |
289 € |
E13471.pdf |
|
E12544 |
SP1 |
1:100 |
IHC-P, WB |
Hu, Ms, Rt |
1.0ml |
510 € |
E12544.pdf |
|
E12541 |
SP1 |
Ready-to-use |
IHC-P |
Hu, Ms, Rt |
7.0ml |
289 € |
E12541.pdf |
|
E17874 |
ST13 |
1:100 |
IHC-P |
Hu |
1ml |
510 € |
E17874.pdf |
|
E17871 |
ST13 |
Ready-to-use |
IHC-P |
Hu |
7ml |
302 € |
E17871.pdf |
|
E12374 |
STAT2 |
1:50 |
IHC-P |
Hu |
1.0ml |
510 € |
E12374.pdf |
|
E12371 |
STAT2 |
Ready-to-use |
IHC-P |
Hu |
7.0ml |
289 € |
E12371.pdf |
|
E3694 |
STAT3 |
1:100 |
IHC-P, WB, IP |
Hu, Ms, Rt |
1.0ml |
445 € |
E3694.pdf |
|
E3691 |
STAT3 |
Ready-to-use |
IHC-P |
Hu, Ms, Rt |
7.0ml |
211 € |
E3691.pdf |
|
E3594 |
STAT5a |
1:200 |
IHC-P, WB, GS |
Hu, Ms, Rt |
1.0ml |
445 € |
E3594.pdf |
|
E3591 |
STAT5a |
Ready-to-use |
IHC-P |
Hu, Ms, Rt |
7.0ml |
237 € |
E3591.pdf |
|
E4294 |
STAT6 |
1:150 |
IHC-P, WB, IP |
Hu, Ms, Rt |
1.0ml |
445 € |
E4294.pdf |
|
E4291 |
STAT6 |
Ready-to-use |
IHC-P |
Hu, Ms, Rt |
7.0ml |
211 € |
E4291.pdf |
|
E10354 |
Stefin A |
1:200 |
IHC-P |
Hu |
1.0ml |
471 € |
E10354.pdf |
|
E10351 |
Stefin A |
Ready-to-use |
IHC-P |
Hu |
7.0ml |
289 € |
E10351.pdf |
|
E5434 |
Surfactant Protein B |
1:50 |
IHC-P,IF |
Hu |
1.0ml |
653 € |
E5434.pdf |
|
E5431 |
Surfactant Protein B |
Ready-to-use |
IHC-P |
Hu |
7.0ml |
302 € |
E5431.pdf |
|
E4754 |
Surfactant Protein B (Pro) |
1:50 |
IHC-P, IF |
Hu, Rt |
1.0ml |
627 € |
E4754.pdf |
|
E4751 |
Surfactant Protein B (Pro) |
Ready-to-use |
IHC-P |
Hu, Rt |
7.0ml |
302 € |
E4751.pdf |
|
E3774 |
Survivin |
1:100 |
IHC-P |
Hu, Ms |
1.0ml |
445 € |
E3774.pdf |
|
E3771 |
Survivin |
Ready-to-use |
IHC-P |
Hu, Ms |
7.0ml |
211 € |
E3771.pdf |
|
E2554 |
Syk |
1:100 |
IHC-P, WB, IP |
Hu |
1.0ml |
575 € |
E2554.pdf |
|
E4054 |
Syk |
1:200 |
IHC-P, WB, IP |
Hu |
1.0ml |
445 € |
E4054.pdf |
|
E4051 |
Syk |
Ready-to-use |
IHC-P |
Hu |
7.0ml |
211 € |
E4051.pdf |
|
E2551 |
Syk |
Ready-to-use |
IHC-P |
Hu |
7.0ml |
302 € |
E2551.pdf |
|
E2174 |
Synaptophysin |
1:300 |
IHC-P, WB |
Hu |
1.0ml |
302 € |
E2174.pdf |
|
E2171 |
Synaptophysin |
Ready-to-use |
IHC-P |
Hu |
7.0ml |
198 € |
E2171.pdf |
|
E17704 |
Syntaxin 1A |
1:100 |
IHC-P |
Hu |
1ml |
510 € |
E17704.pdf |
|
E17701 |
Syntaxin 1A |
Ready-to-use |
IHC-P |
Hu |
7ml |
302 € |
E17701.pdf |
|
E2684 |
Synuclein-alpha |
1:100 |
IHC-P |
Hu, Rt |
1.0ml |
445 € |
E2684.pdf |
|
E2681 |
Synuclein-alpha |
Ready-to-use |
IHC-P |
Hu, Rt |
7.0ml |
198 € |
E2681.pdf |
|
E2774 |
Synuclein-beta |
1:100 |
IHC-P |
Hu, Rt |
1.0ml |
445 € |
E2774.pdf |
|
E2771 |
Synuclein-beta |
Ready-to-use |
IHC-P |
Hu, Rt |
7.0ml |
198 € |
E2771.pdf |
|
E2794 |
Synuclein-pan |
1:50 |
IHC-P, WB |
Hu, Rt |
1.0ml |
445 € |
E2794.pdf |
|
E2791 |
Synuclein-pan |
Ready-to-use |
IHC-P |
Hu, Rt |
7.0ml |
198 € |
E2791.pdf |
|
E17844 |
Tau (Neuronal Marker) |
1:50 |
IHC-P, WB |
Hu |
1ml |
510 € |
E17844.pdf |
|
E17841 |
Tau (Neuronal Marker) |
Ready-to-use |
IHC-P |
Hu |
7ml |
302 € |
E17841.pdf |
|
E2194 |
TDT |
1:25 (30') |
IHC-P |
Hu |
1.0ml |
627 € |
E2194.pdf |
|
E2191 |
TDT |
Ready-to-use (30') |
IHC-P |
Hu |
7.0ml |
354 € |
E2191.pdf |
|
E11034 |
Telomerase |
1:100 |
IHC-P |
Hu |
1.0ml |
445 € |
E11034.pdf |
|
E11031 |
Telomerase |
Ready-to-use |
IHC-P |
Hu |
7.0ml |
289 € |
E11031.pdf |
|
E6474 |
Tenascin |
1:50 |
IHC-P |
Hu |
1.0ml |
445 € |
E6474.pdf |
|
E6471 |
Tenascin |
Ready-to-use |
IHC-P |
Hu |
7.0ml |
302 € |
E6471.pdf |
|
E4174 |
TGase II |
1:200 |
IHC-P, WB |
Hu, Ms, Rt |
1.0ml |
445 € |
E4174.pdf |
|
E4171 |
TGase II |
Ready-to-use |
IHC-P |
Hu, Ms, Rt |
7.0ml |
211 € |
E4171.pdf |
|
E11264 |
TGF beta 1 |
1:25 |
IHC-P |
Hu |
200µg |
510 € |
E11264.pdf |
|
E11261 |
TGF beta 1 |
Ready-to-use |
IHC-P |
Hu |
7.0ml |
289 € |
E11261.pdf |
|
E3944 |
TGF beta 3 |
1:100 |
IHC-P, WB, IP |
Hu, Ms, Rt |
1.0ml |
445 € |
E3944.pdf |
|
E3941 |
TGF beta 3 |
Ready-to-use |
IHC-P |
Hu, Ms, Rt |
7.0ml |
211 € |
E3941.pdf |
|
E12344 |
TGF beta R1 |
1:50 |
IHC-P |
Hu |
1.0ml |
614 € |
E12344.pdf |
|
E12341 |
TGF beta R1 |
Ready-to-use |
IHC-P |
Hu |
7.0ml |
289 € |
E12341.pdf |
|
E11244 |
TGF beta Receptor II |
1:50 |
IHC-P |
Hu |
200µg |
510 € |
E11244.pdf |
|
E11241 |
TGF beta Receptor II |
Ready-to-use |
IHC-P |
Hu |
7.0ml |
289 € |
E11241.pdf |
|
E11234 |
TGF beta Receptor III |
1:50 |
IHC-P |
Hu |
200µg |
510 € |
E11234.pdf |
|
E11231 |
TGF beta Receptor III |
Ready-to-use |
IHC-P |
Hu |
7.0ml |
289 € |
E11231.pdf |
|
E3784 |
TGF beta2 |
1:50 |
IHC-P, WB, IP |
Hu, Ms, Rt |
1.0ml |
445 € |
E3784.pdf |
|
E3781 |
TGF beta2 |
Ready-to-use |
IHC-P |
Hu, Ms, Rt |
7.0ml |
211 € |
E3781.pdf |
|
E3734 |
TGF-alpha |
1:50 |
IHC-P |
Hu |
1.0ml |
445 € |
E3734.pdf |
|
E3731 |
TGF-alpha |
Ready-to-use |
IHC-P |
Hu |
7.0ml |
237 € |
E3731.pdf |
|
E6484 |
Thomsen-Friedenreich Antigen |
1:50 |
IHC-P,IF |
Hu,Rt |
1.0ml |
536 € |
E6484.pdf |
|
E6481 |
Thomsen-Friedenreich Antigen |
Ready-to-use |
IHC-P |
Hu,Rt |
7.0ml |
302 € |
E6481.pdf |
|
E4064 |
THR alpha 1/alpha 2 |
1:100 |
IHC-P |
Hu, Ms, Rt, Pg |
1.0ml |
445 € |
E4064.pdf |
|
E4061 |
THR alpha 1/alpha 2 |
Ready-to-use |
IHC-P |
Hu, Ms, Rt, Pg |
7.0ml |
211 € |
E4061.pdf |
|
E4074 |
THR beta |
1:100 |
IHC-P |
Hu, Dg |
1.0ml |
445 € |
E4074.pdf |
|
E4071 |
THR beta |
Ready-to-use |
IHC-P |
Hu, Dg |
7.0ml |
211 € |
E4071.pdf |
|
E12534 |
Thrombin R |
1:50 |
IHC-P, WB |
Hu, Rt |
1.0ml |
510 € |
E12534.pdf |
|
E12531 |
Thrombin R |
Ready-to-use |
IHC-P |
Hu, Rt |
7.0ml |
289 € |
E12531.pdf |
|
E6494 |
Thrombospondin |
1:50 |
IHC-P,WB,IP,IF,FC |
Hu,Ms,Rt,Co,Pi |
1.0ml |
627 € |
E6494.pdf |
|
E6491 |
Thrombospondin |
Ready-to-use |
IHC-P |
Hu,Ms,Rt,Co,Pi |
7.0ml |
302 € |
E6491.pdf |
|
E6504 |
Thymidine Phosphorylase |
1:50 |
IHC-P |
Hu,Ms,Rt |
1.0ml |
627 € |
E6504.pdf |
|
E6501 |
Thymidine Phosphorylase |
Ready-to-use |
IHC-P |
Hu,Ms,Rt |
7.0ml |
302 € |
E6501.pdf |
|
E16604 |
Thyroglobulin |
1:400 |
IHC-P |
Hu |
1.0ml |
510 € |
E16604.pdf |
|
E16601 |
Thyroglobulin |
Ready-to-use |
IHC-P |
Hu |
7.0ml |
302 € |
E16601.pdf |
|
E17524 |
Tie-1 |
1:100 |
IHC-P |
Hu |
1ml |
510 € |
E17524.pdf |
|
E17521 |
Tie-1 |
Ready-to-use |
IHC-P |
Hu |
7ml |
302 € |
E17521.pdf |
|
E3364 |
TIMP-1 |
1:100 |
IHC-P, WB |
Hu |
1.0ml |
445 € |
E3364.pdf |
|
E6834 |
TIMP-1 |
1:50 |
IHC-P,WB |
Hu |
1ml |
614 € |
E6834.pdf |
|
E6831 |
TIMP-1 |
Ready-to-use |
IHC-P |
Hu |
7ml |
302 € |
E6831.pdf |
|
E3361 |
TIMP-1 |
Ready-to-use |
IHC-P |
Hu |
7.0ml |
211 € |
E3361.pdf |
|
E4184 |
TIMP-2 |
1:50 |
IHC-P |
Hu |
1.0ml |
445 € |
E4184.pdf |
|
E6844 |
TIMP-2 |
1:50 |
IHC-P,WB |
Hu,Ms,Rt,Rb,Co |
1ml |
627 € |
E6844.pdf |
|
E6841 |
TIMP-2 |
Ready-to-use |
IHC-P |
Hu,Ms,Rt,Rb,Co |
7ml |
302 € |
E6841.pdf |
|
E4181 |
TIMP-2 |
Ready-to-use |
IHC-P |
Hu |
7.0ml |
237 € |
E4181.pdf |
|
E3854 |
Timp-3 |
1:70 |
IHC-P, WB |
Hu, Rt, Bb |
1.0ml |
445 € |
E3854.pdf |
|
E3851 |
Timp-3 |
Ready-to-use |
IHC-P |
Hu, Rt, Bb |
7.0ml |
211 € |
E3851.pdf |
|
E3804 |
Timp-4 |
1:50 |
IHC-P, WB |
Hu |
1.0ml |
445 € |
E3804.pdf |
|
E3801 |
Timp-4 |
Ready-to-use |
IHC-P |
Hu |
7.0ml |
211 € |
E3801.pdf |
|
E4324 |
TNF-R2 |
1:50 (30') |
IHC-P |
Hu, Ms, Rt |
1.0ml |
445 € |
E4324.pdf |
|
E4321 |
TNF-R2 |
Ready-to-use |
IHC-P, WB, IP |
Hu, Ms, Rt |
7.0ml |
250 € |
E4321.pdf |
|
E4144 |
Topo II beta |
1:200 |
IHC-P |
Hu |
1.0ml |
445 € |
E4144.pdf |
|
E4141 |
Topo II beta |
Ready-to-use |
IHC-P |
Hu |
7.0ml |
211 € |
E4141.pdf |
|
E4524 |
Toxoplasma Gondii |
1:50 |
IHC-P |
Hu |
1.0ml |
419 € |
E4524.pdf |
|
E4521 |
Toxoplasma Gondii |
Ready-to-use |
IHC-P |
Hu |
7.0ml |
211 € |
E4521.pdf |
|
E4344 |
TRADD |
1:100 |
IHC-P, WB, IP |
Hu |
1.0ml |
445 € |
E4344.pdf |
|
E4341 |
TRADD |
Ready-to-use |
IHC-P |
Hu |
7.0ml |
211 € |
E4341.pdf |
|
E6864 |
Transglutaminase II |
1:50 |
IHC-P,WB,IP,IF,AP |
Hu,Rb,Dg |
1ml |
627 € |
E6864.pdf |
|
E6861 |
Transglutaminase II |
Ready-to-use |
IHC-P |
Hu,Rb,Dg |
7ml |
302 € |
E6861.pdf |
|
E5484 |
Tropomyosin |
1:50 |
IHC-P,IF |
Hu,Rt,Ca |
1.0ml |
536 € |
E5484.pdf |
|
E5481 |
Tropomyosin |
Ready-to-use |
IHC-P |
Hu,Rt,Ca |
7.0ml |
302 € |
E5481.pdf |
|
E3234 |
Troponin I, cardiac isoform |
1:100 |
IHC-P, WB, IP |
Hu |
1.0ml |
523 € |
E3234.pdf |
|
E3231 |
Troponin I, cardiac isoform |
Ready-to-use |
IHC-P |
Hu |
7.0ml |
198 € |
E3231.pdf |
|
E3241 |
Troponin T, cardia isoform |
Ready-to-use |
IHC-P |
Hu |
7.0ml |
198 € |
E3241.pdf |
|
E3244 |
Troponin T, cardiac isoform |
1:200 |
IHC-P, WB, IP |
Hu |
1.0ml |
523 € |
E3244.pdf |
|
E3614 |
TrxR2 |
1:50 |
IHC-P, WB |
Hu, Rt |
1.0ml |
445 € |
E3614.pdf |
|
E3611 |
TrxR2 |
Ready-to-use |
IHC-P |
Hu, Rt |
7.0ml |
237 € |
E3611.pdf |
|
E17914 |
TS |
1:100 |
IHC-P |
Hu |
1ml |
510 € |
E17914.pdf |
|
E17911 |
TS |
Ready-to-use |
IHC-P |
Hu |
7ml |
302 € |
E17911.pdf |
|
E3104 |
TSH |
1:100 |
IHC-P |
Hu |
1.0ml |
302 € |
E3104.pdf |
|
E17504 |
TSH |
1:200 |
IHC-P |
Hu |
1ml |
510 € |
E17504.pdf |
|
E17501 |
TSH |
Ready-to-use |
IHC-P |
Hu |
7ml |
302 € |
E17501.pdf |
|
E3101 |
TSH |
Ready-to-use |
IHC-P |
Hu |
7.0ml |
185 € |
E3101.pdf |
|
E16434 |
TTF-1 |
1:50 |
IHC-P |
Hu |
1.0ml |
510 € |
E16434.pdf |
|
E16431 |
TTF-1 |
Ready-to-use |
IHC-P |
Hu |
7.0ml |
302 € |
E16431.pdf |
|
E4134 |
Tubulin alpha |
1:200 |
IHC-P, WB, IP |
Hu, Ms, Rt |
1.0ml |
445 € |
E4134.pdf |
|
E6874 |
Tubulin alpha |
1:50 |
IHC-P,WB,IP,IF |
Hu,Ms,Rt,Co |
1ml |
549 € |
E6874.pdf |
|
E6871 |
Tubulin alpha |
Ready-to-use |
IHC-P |
Hu,Ms,Rt,Co |
7ml |
302 € |
E6871.pdf |
|
E4131 |
Tubulin alpha |
Ready-to-use |
IHC-P |
Hu, Ms, Rt |
7.0ml |
211 € |
E4131.pdf |
|
E3814 |
Tubulin beta |
1:200 |
IHC-P, WB, IP |
Hu, Ms, Rt |
1.0ml |
445 € |
E3814.pdf |
|
E3811 |
Tubulin beta |
Ready-to-use |
IHC-P |
Hu, Ms, Rt |
7.0ml |
211 € |
E3811.pdf |
|
E10334 |
Tubulin gamma |
1:100 |
IHC-P, WB |
Hu, Ms, Rt |
1.0ml |
510 € |
E10334.pdf |
|
E10331 |
Tubulin gamma |
Ready-to-use |
IHC-P |
Hu, Ms, Rt |
7.0ml |
289 € |
E10331.pdf |
|
E2814 |
Tyrosinase |
1:100 |
IHC-P |
Hu |
1.0ml |
510 € |
E2814.pdf |
|
E6884 |
Tyrosinase |
1:50 |
IHC-P,WB,IF |
Hu,Dg,Ct |
1ml |
627 € |
E6884.pdf |
|
E6881 |
Tyrosinase |
Ready-to-use |
IHC-P |
Hu,Dg,Ct |
7ml |
302 € |
E6881.pdf |
|
E2811 |
Tyrosinase |
Ready-to-use |
IHC-P |
Hu |
7.0ml |
276 € |
E2811.pdf |
|
E11144 |
Ube1L |
1:50 |
IHC-P |
Hu |
200ug |
510 € |
E11144.pdf |
|
E11141 |
Ube1L |
Ready-to-use |
IHC-P |
Hu |
7.0ml |
289 € |
E11141.pdf |
|
E3354 |
Ubiquitin |
1:100 |
IHC-P |
Hu |
1.0ml |
393 € |
E3354.pdf |
|
E3351 |
Ubiquitin |
Readu-to-use |
IHC-P |
Hu |
7.0ml |
211 € |
E3351.pdf |
|
E4484 |
Urocortin |
1:200 |
IHC-P |
Hu |
1.0ml |
497 € |
E4484.pdf |
|
E4481 |
Urocortin |
Ready-to-use |
IHC-P |
Hu |
7.0ml |
237 € |
E4481.pdf |
|
E12564 |
USF-2 |
1:50 |
IHC-P, WB |
Hu, Ms, Rt |
1.0ml |
510 € |
E12564.pdf |
|
E12561 |
USF-2 |
Ready-to-use |
IHC-P |
Hu, Ms, Rt |
7.0ml |
289 € |
E12561.pdf |
|
E2614 |
Vascular Endothelial Growth Factor (VEGF) |
1:100 |
IHC-P, WB, IP |
Hu |
1.0ml |
406 € |
E2614.pdf |
|
E2611 |
Vascular Endothelial Growth Factor (VEGF) |
Ready-to-use |
IHC-P |
Hu |
7.0ml |
198 € |
E2611.pdf |
|
E5494 |
Vascular Endothelial Growth Factor(VEGF) |
1:50 |
IHC-P,WB |
Hu |
1.0ml |
653 € |
E5494.pdf |
|
E5491 |
Vascular Endothelial Growth Factor(VEGF) |
Ready-to-use |
IHC-P |
Hu |
7.0ml |
302 € |
E5491.pdf |
|
E16644 |
Villin |
1:50 |
IHC-P |
Hu |
1.0ml |
510 € |
E16644.pdf |
|
E5504 |
Villin |
1:50 |
IHC-P |
Hu |
1.0ml |
549 € |
E5504.pdf |
|
E5501 |
Villin |
Ready-to-use |
IHC-P |
Hu |
7.0ml |
302 € |
E5501.pdf |
|
E16641 |
Villin |
Ready-to-use |
IHC-P |
Hu |
7.0ml |
302 € |
E16641.pdf |
|
E2944 |
Vimentin |
1:200 |
IHC-P, WB |
Hu |
1.0ml |
302 € |
E2944.pdf |
|
E2941 |
Vimentin |
Ready-to-use |
IHC-P |
Hu |
7.0ml |
172 € |
E2941.pdf |
|
E5514 |
Vinculin |
1:25 |
IHC-P,WB,IP,IF |
Hu |
1.0ml |
627 € |
E5514.pdf |
|
E5511 |
Vinculin |
Ready-to-use |
IHC-P |
Hu |
7.0ml |
302 € |
E5511.pdf |
|
E6524 |
von Hippel-Lindau Protein |
1:50 |
IHC-P,WB |
Hu,Ms |
1.0ml |
627 € |
E6524.pdf |
|
E6521 |
von Hippel-Lindau Protein |
Ready-to-use |
IHC-P |
Hu,Ms |
7.0ml |
302 € |
E6521.pdf |
|
E3994 |
Wilm's Tumor Protein |
1:100 |
IHC-P, WB, IP |
Hu, Ms, Rt |
1.0ml |
445 € |
E3994.pdf |
|
E3991 |
Wilm's Tumor Protein |
Ready-to-use |
IHC-P |
Hu, Ms, Rt |
7.0ml |
211 € |
E3991.pdf |
|
E3964 |
Wnt-1 |
1:100 |
IHC-P |
Hu, Ms, Rt |
1.0ml |
445 € |
E3964.pdf |
|
E3961 |
Wnt-1 |
Ready-to-use |
IHC-P |
Hu, Ms, Rt |
7.0ml |
211 € |
E3961.pdf |
|
E6544 |
XPA |
1:50 |
IHC-P,WB |
Hu |
1.0ml |
627 € |
E6544.pdf |
|
E6541 |
XPA |
Ready-to-use |
IHC-P |
Hu |
7.0ml |
302 € |
E6541.pdf |
|
E5524 |
XPF |
1:50 |
IHC-P,WB |
Hu |
1.0ml |
627 € |
E5524.pdf |
|
E5521 |
XPF |
Ready-to-use |
IHC-P |
Hu |
7.0ml |
302 € |
E5521.pdf |
|
E6554 |
XRCC1 |
1:50 |
IHC-P,WB,IP |
Hu,Rt |
1.0ml |
653 € |
E6554.pdf |
|
E6551 |
XRCC1 |
Ready-to-use |
IHC-P |
Hu,Rt |
7.0ml |
302 € |
E6551.pdf |
|
E4014 |
XRCC2 |
1:200 |
IHC-P, WB |
Hu |
1.0ml |
445 € |
E4014.pdf |
|
E4011 |
XRCC2 |
Ready-to-use |
IHC-P |
Hu |
7.0ml |
211 € |
E4011.pdf |
|
E4024 |
XRCC3 |
1:50 |
IHC-P, WB |
Hu |
1.0ml |
445 € |
E4024.pdf |
|
E4021 |
XRCC3 |
Ready-to-use |
IHC-P |
Hu |
7.0ml |
211 € |
E4021.pdf |
|
E12524 |
ZAP-70 |
1:100 |
IHC-P, WB |
Hu |
1.0ml |
510 € |
E12524.pdf |
|
E6904 |
ZAP-70 |
1:50 (60') |
IHC-P, WB |
Hu |
1.0ml |
510 € |
E6904.pdf |
|
E6901 |
ZAP-70 |
Ready-to-use |
IHC-P |
Hu |
7.0ml |
302 € |
E6901.pdf |
|
E12521 |
ZAP-70 |
Ready-to-use |
IHC-P |
Hu |
7.0ml |
289 € |
E12521.pdf |
|
E17454 |
ZO-3 |
1:100 |
IHC-P |
Hu |
1ml |
510 € |
E17454.pdf |
|
E17451 |
ZO-3 |
Ready-to-use |
IHC-P |
Hu |
7ml |
302 € |
E17451.pdf |
|